矯正治療について

中学生・高校生の矯正

この年齢の口腔内の特徴

中学生や高校生では歯の生え変わりは完了していて、歯ならび自体は大人とほぼ変わりません。しかし、この時期はいわゆる「成長期」であり、身長が伸びるとともに、下あごが大きくなることが知られています。そのため、下顎前突(受け口)の場合は十分な注意が必要です。一方、上顎前突(出っ歯)の場合は成長を利用してあごの大きさや位置を改善できる可能性があります。

また、あごがガクガクしたり、口が開かなくなったりするなど「顎関節症」と呼ばれるあごの病気が起こり始めるのもこの時期と呼ばれていて、注意が必要です。

この時期には、部活動、受験勉強など学校に関わる出来事が多くあり多忙となることから、通院頻度や治療期間、歯みがきの頻度などが問題となり、これらが矯正治療に影響することもあります。

この年齢の口腔内の特徴

治療方針(装置、期間など)


この時期には、基本的には成人と同じ装置を用いて治療を行います。(ただし、下あごの成長がある時期のため、かみ合わせによっては成長が終わってから治療を行うこともあります。)

また、治療の際には、部活動や受験などの学校行事が生活のメインとなり多忙であること、歯みがきの状況などに個人差があること、見た目が気になる年齢であることなどを考慮する必要があります。

当院では、初診相談を受診していただくことで、矯正専門医院の特色を生かした様々な治療方法の提案が可能です。患者さんご本人、ご家族と相談の上、適正な方法を選択して治療を行います。

当院で使用する主な装置

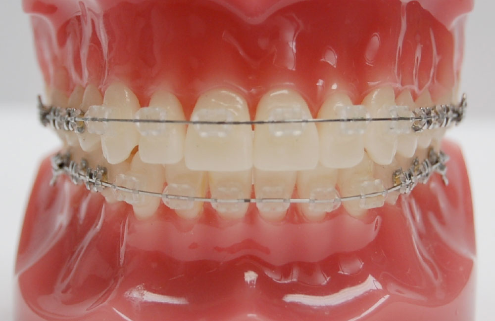
マルチブラケット装置

もっとも一般的な矯正装置で、歯の表面に付けるブラケットと細いワイヤーを用いて歯を動かす装置です。歯に着けるブラケットやワイヤーには様々な種類があるため、目立ちにくい装置など、色々なご希望に添う形で組み合わせて治療を行うことができます。

マルチブラケット装置
歯の裏側(舌側)からの矯正装置

マルチブラケット装置の中でも、歯の裏側に装置を着けるものです。表側からは装置は見えないため、矯正治療をしているのが他の人にわかりにくくなっています。表側の装置よりも、むし歯になりにくいこと、治療の適応範囲が広く、マウスピース型矯正装置(インビザライン:完成物薬機法対象外)などでは治療できないかみ合わせでも治療が可能なことが特長です。

裏側矯正装
マウスピース型矯正装置(インビザライン:完成物薬機法対象外)

一般的に「マウスピース型矯正装置」と呼ばれる治療装置で、取り外しが可能な透明なマウスピースを用いて治療を行います。透明で目立ちにくいこと、いつでも装置を外せること、痛みが少ないこと、通院間隔が長いため、留学や受験などの影響を受けにくいこと、違和感が少なく、しゃべったりしやすいこと、むし歯になりにくいことなど、ワイヤーを使う矯正には無い、さまざまなメリットがあります。

インビザライン

適正な開始時期にスタートする利点

  • 成長がまだ続いている時期で、あごを適切な位置に改善できるため、歯を抜かないで治療ができたり、成人よりも、よりきれいな顔立ち、見た目にできたりする可能性がある
  • 成長が盛んな時期のため、成長を利用した治療を行うことができる
  • 大人の歯ならびになってすぐに治療することで早期に見た目が良くなり、見た目の美しさなどの矯正治療のメリットを最大限受けることができる
  • 歯ならびが良いことで就職や海外留学などの際に、良い印象を人に与える
  • コンプレックスを感じることが無くなり、自分に自信が持て、よりすばらしい人生を送ることができる
  • かみ合わせ、歯ならびをあらかじめ改善しておくことで、むし歯、歯周病、顎関節症などになるリスクを減少することができ、将来にわたって、お口の中の健康を得ることができる

適正な開始時期に矯正治療をスタートすることは、お子さまにとって、上記のようにメリットがたくさんあります。

時期は個人差がありますので、まずは初診相談を受診し、矯正歯科を専門に行う歯科医師の見解を確認してください。
矯正治療をスタートする・しないに関わらず、適正な開始時期を逃さないよう早めに初診相談を受診することをおすすめします。