お悩み別で探す

費用を抑えたい

費用を抑えたい方の手技・装置の一覧・詳細

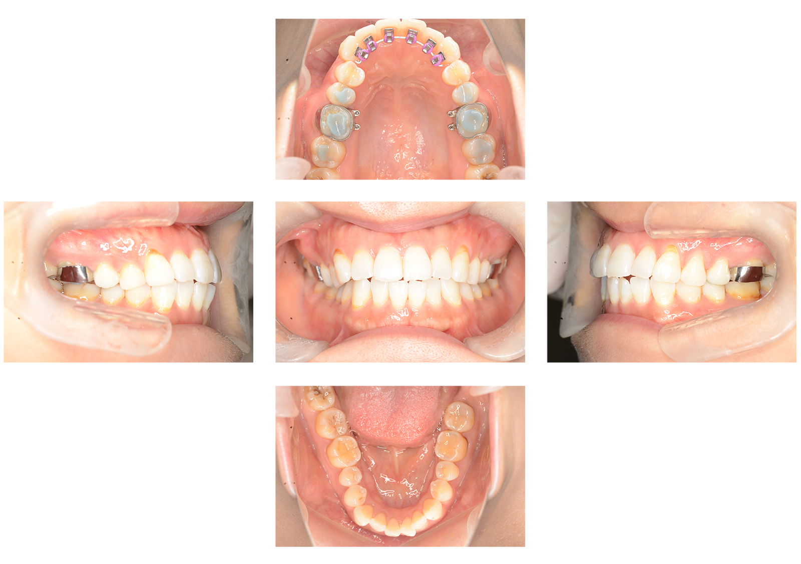
部分矯正

「半年後の結婚式までに歯のでこぼこをきれいにしたい」「矯正はしたいけど期間を短くしたい」など、治療期間でお困りの方におすすめの治療法です。

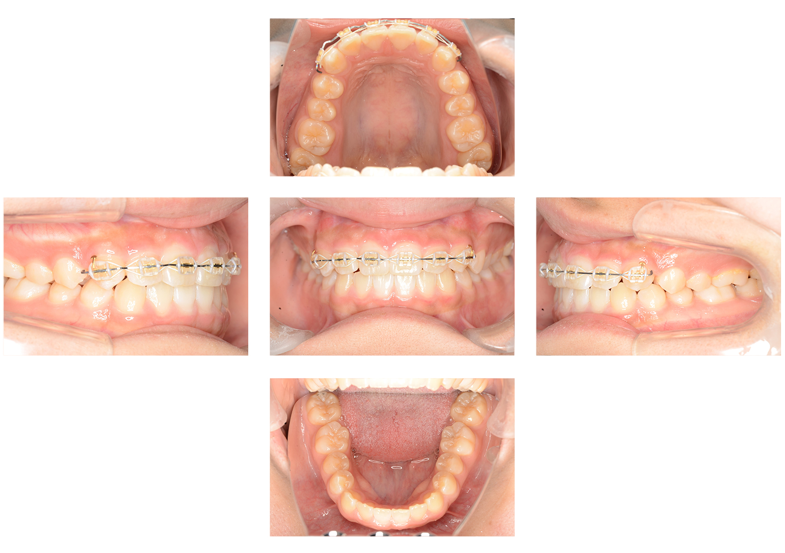
前歯だけにブラケットを付け、歯を少しだけ小さく削ることで、でこぼこを治す歯のすき間を作って、短期間に前歯をきれいに整えることができます。

でこぼこの量が大きすぎる場合には前歯全体が前に出てしまい、上下の前歯が当たらなくなってしまうため部分矯正では治療できない場合もあります。

症例画像
症例画像

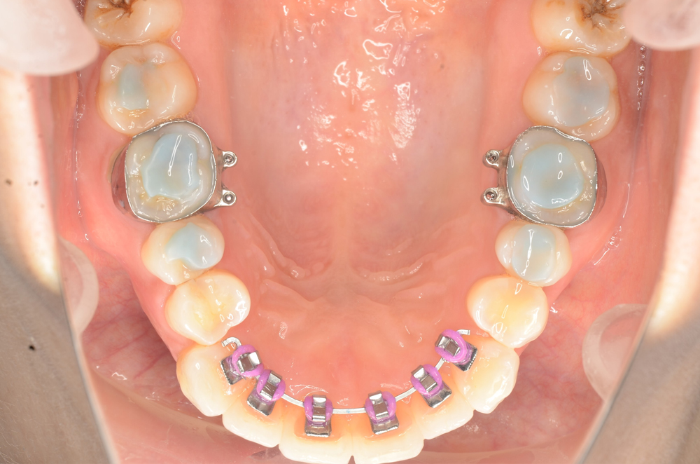
裏側からの部分矯正

「費用を抑えたいけれど目立ってほしくない」「人に気づかれないように1本だけ出ている歯ならびを治したい」など希望される方におすすめの治療法です。

前歯の裏側にブラケットを付けるため、人に知られずに矯正治療を行うことができます。治療法は部分矯正と同様で、歯を少し削って、でこぼこを治すためのすき間を作り、短期間に前歯をきれいに整えます。

症例画像
症例画像

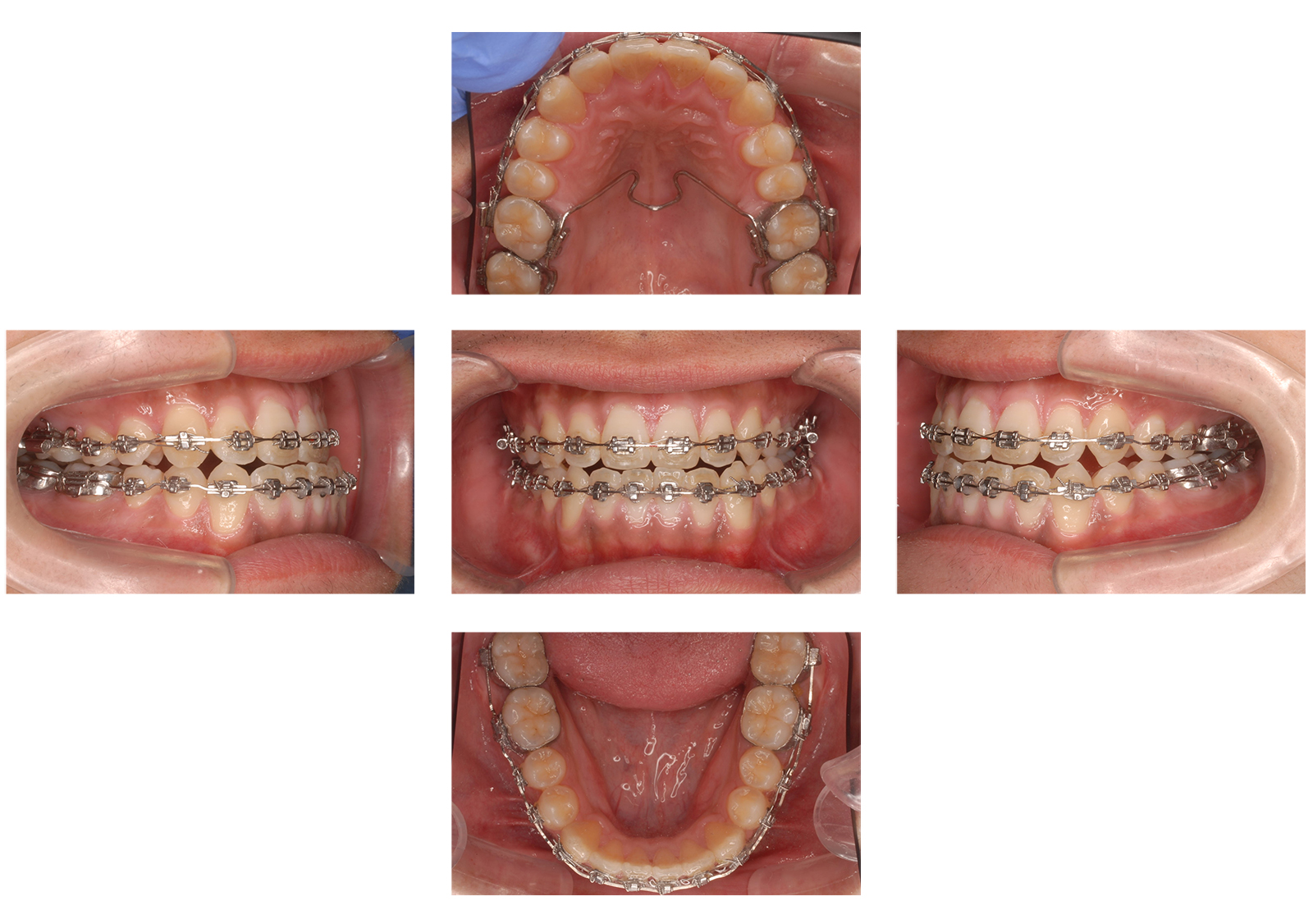
表側矯正(メタルブラケット)

歯の重なりが大きい、かみ合わせ全体がずれているなどの場合では、部分矯正では治療が困難で、全体矯正が必要なこともあります。

全体矯正になる場合、期間が長くなったり、費用が高額になったりすることが心配ですが、金属製のブラケットを用いたメタルの治療にするなどで、費用を抑えることが可能です。

症例画像
症例画像