大分矯正歯科について

初診相談-カウンセリング-

初診相談(カウンセリング)とは

どんな歯ならびになりたいか、お口のどこがどのように気になるのかは人によってまったく違います。そして、それを言葉にして口に出すのはとても勇気のいることだと思います。
私たちは、患者さんに初めてお会いするときに、できる限りお悩みに耳を傾け、患者さんと私たちが、ともに同じ「ゴール」を目指せるようにしたいと考えています。
どんな些細なことでもよいので、お気軽に気になることをお伝えください。専門的な視点から、お役に立てるよう、アドバイスをさせていただきます。

初診相談(カウンセリング)とは

初診相談(カウンセリング)の内容

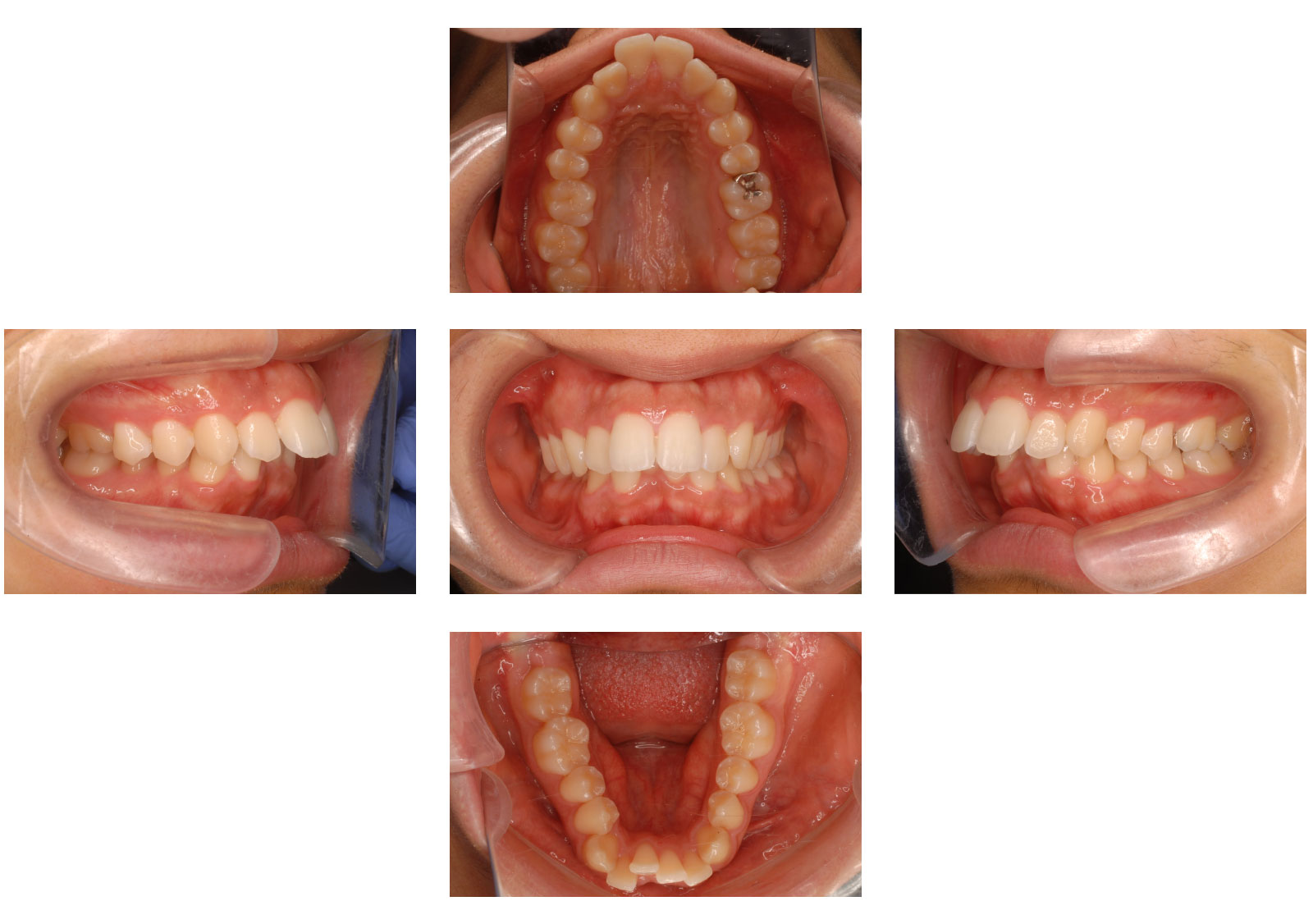
口腔内写真の撮影

現状の歯ならびの問題点や今後予測されるリスク等を分かりやすく説明するために、お口の中の写真を撮影します。

口腔内写真の撮影<

矯正治療を専門に行う歯科医師による治療方針の説明

想定される治療期間、抜歯の有無、どのような装置を使用するのかなどを院長より直接ご説明いたします。

矯正治療を専門に行う歯科医師による治療方針の説明

治療費の説明

治療費についてご説明いたします。また、分割支払いをご希望の場合、支払いプランをご相談の上、提示いたします 。

治療費の説明

初診相談(カウンセリング)の予約


ご予約は、電話:097-576-7182 または、予約フォームよりお申し込み可能です。
予約フォームは24時間対応しております。

ご予約について