歯並びについて

叢生

叢生とは

叢生(そうせい)は、歯が重なって「でこぼこ」に生えたり、ねじれたり、歯ならびの内側や外側に飛び出して生えてしまうです。一般的には「八重歯」「がちゃ歯」「らんくい歯」などとも呼ばれます。日本人の中で、最も多い不正咬合です。

症例画像

叢生の原因

口の中では「歯」が、土台となる「あご」に植わっています。あごが大きくて、歯が並ぶすき間が十分にあると、きれいな歯ならびになりますが、あごが小さかったり、歯が大きかったりして、「歯」と「あご」の大きさのバランスが崩れると、叢生になります。

叢生を放置した場合の将来的なリスク

歯が正しい位置にないことにより歯みがきがしにくく、むし歯や歯周病(歯ぐきの病気)にとてもかかりやすいことが特徴で、将来的に歯を失ってしまう原因となります。

 八重歯などの場合では、反対の歯と全くかみ合っていないことが多く、それによる、あごの関節へのダメージや「そしゃく」の効率低下などがおこり、「顎関節症(あごがガクガクしたり、痛くなったりする病気)」の発症や、胃腸などへの負担増加が起こる可能性が疑われています。

また、舌や頬に飛び出た歯が当たってしまい、口内炎ができたり、誤って舌や頬を噛んだりすることもあります。このような状態を放置していると将来的に口腔がんのリスクが高まることが知られています。

叢生の原因

正常な顎のスペース
歯がキレイにならぶ

叢生の原因

通常より顎が小さい場合
12本の歯がガタガタにならないと歯列に収まらない

叢生の原因

通常より歯のサイズが大きい場合
歯列に収まりきらず、でこぼこの歯並びになってします

叢生の症例写真

前歯のガタガタ


性別 男性
年齢 22歳
装置 表側矯正装置(メタル)
抜歯 上下左右小臼歯 4本
期間 1年5か月
回数 20回
方針 上下前歯のガタガタが大きく、分析の結果あごと歯の大きさのバランスが悪いことが分かりました。歯が並ぶスペースを作るために、上下左右の歯を抜歯して、治療を行いました。
リスク 歯を効率よく動かすことができ、治療期間も短く終えることができましたが、定期的に通院を行わないと歯の移動効率が落ち、期間が延びる可能性があります。

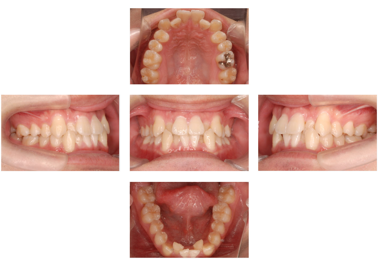
矯正前


症例画像

矯正後


症例画像

治療費


検査診断料 ¥35,000+tax
表側矯正装置(メタル) ¥740,000+tax
処置料 なし

叢生に関するよくある質問

歯ならびの幅を広げる、あごの骨にまだ利用できる部分がある、歯の表面を少し削ってすき間をつくるなど、抜歯以外の方法でも治療できる可能性があります。ただし、あごの骨が極端に小さい、歯が極端に大きい場合など、どうしても歯が並ぶすき間が無い場合には、抜歯しないで無理やり歯を並べると、将来的な歯の持ちが悪くなることもあります。

歯を抜く、抜かないを判断するためには専門的な分析が必要ですので、一度、矯正相談を受けることをおすすめします。

A

5歳のお子さんの歯ならびの不正の中にも、大人の歯が生えていたり、転んで歯がねじれてしまったり、指しゃぶりなど、小さいころからのくせが治っていなかったりと様々な状況があります。中には、自然に治る歯ならびの不正もありますが、成長とともにますます歯ならびが悪くなるものや、成長を利用して治療を行うことで負担が少なく治療できるものもあります。

子どもの歯ならびの不正の原因を特定したり、成長を利用して矯正治療を効率よく行ったりすることは、とても難しいと言われています。治療開始のタイミングを逃してしまうと、その後の治療内容さまざまな支障が生じるおそれもあるため、矯正相談を受けることをおすすめします。

A