矯正治療について

小学生の矯正

この年齢の口腔内の特徴

小学1年生


生え変わりの始まる時期で、上下の前歯(中切歯)奥歯(6歳臼歯)が生えてきます。受け口の傾向があるお子さんの場合、この時期に上の前歯が下の前歯の後ろに生えてしまうこともあり、注意が必要です。

小学2年生


上下の2番目の前歯(側切歯)が生えてくる時期です。前歯が全て生えそろうことで、これから生えてくる大人の歯の大きさを予測することができる時期となります。そのため、あごの成長を促して、上下のあごのずれや、歯が生えるすき間をつくる治療の開始時期になることが多いです。

小学3~5年生


前歯と奥歯の間の歯(小臼歯)や犬歯が生え変わる時期です。
この頃まで、上の前歯の間にすき間があって「すきっ歯」の状態になっていても、子どもの歯よりも大きい歯が生えてくることで前歯が押されて自然に治ることもあります。

また、この頃に上あごの成長が終わるため、「受け口」のような下顎前突と呼ばれるかみ合わせの場合、この時期までに上下のあごのずれを治しておかないと、その後の治療方法が限られてくることもあります。
「出っ歯」のような上顎前突と呼ばれるかみ合わせの場合、この頃から下あごを成長させる装置を用いて上下のあごのずれを治して行きます。 また、歯が生えてくるすき間が不足していると、歯が歯ならびから外れて生えてきて、一般的に「八重歯」と言われる、でこぼこのかみ合わせになります。

小学6年生


奥歯の後ろにもう一つ大きな歯(12歳臼歯)が生えてきます。 この時点で親しらずを除いた、すべての大人の歯が生えそろうため、この時期以降は大人同様、ワイヤーなどの装置を用いて矯正治療することになります(上顎前突の場合は、下あごの成長が終わるまで、子ども用の矯正装置を用いることもあります)。

治療方針(装置、期間など)

お子さんの矯正治療の最大の特長は「成長力」を治療に利用することです。

歯が生え変わるときに、お子さんの歯がねじれていたり、ずれて生えてきたりして、心配されるご家族の方は多いと思います。

「早く矯正治療した方が良い」と勧められることもあると思います。しかし、ただやみくもに1つ1つの大人の歯を治していくと、次から次に歯が生え変わるため、長い人では10年もの間、口の中に装置が入り続けてしまうこともあります。

歯のねじれや、でこぼこ自体は、治療開始時期によって治療効果や期間に違いがでるわけではありません。むしろ、生え変わってすぐ装置を着けると虫歯や歯茎の腫れなど大きな問題が生じやすくなります。歯のでこぼこや出っ歯、受け口は、ほとんどの場合、歯の大きさだけが原因ではありません。「顎」が小さかったり、上あご、下あごの位置がずれていたりすることが原因であることも多いのです。

成人の場合、成長が終わり、顎は大きくならないため、歯を小さい顎にあわせて、小さくする(歯を削ったり、抜いたりする)ことが多くなります。(極端に顎のバランスが乱れている成人の場合には手術が必要となることもあります)。

成長期に顎の骨を大きくして、正しい位置に整えることができれば、将来的に歯を抜かなくても、すべての歯がきれいに並ぶ可能性があります。

子ども専用の矯正装置を成長に合わせて適切な時期に用いることで、効率的に顎を適切な大きさにコントロールする「歯ならびの土台づくり」の治療を行います。

当院で使用する主な装置

どの装置を用いた治療でも、適切な時期に治療できるように心がけ、お子さんやご家族の負担にならないよう心がけています。

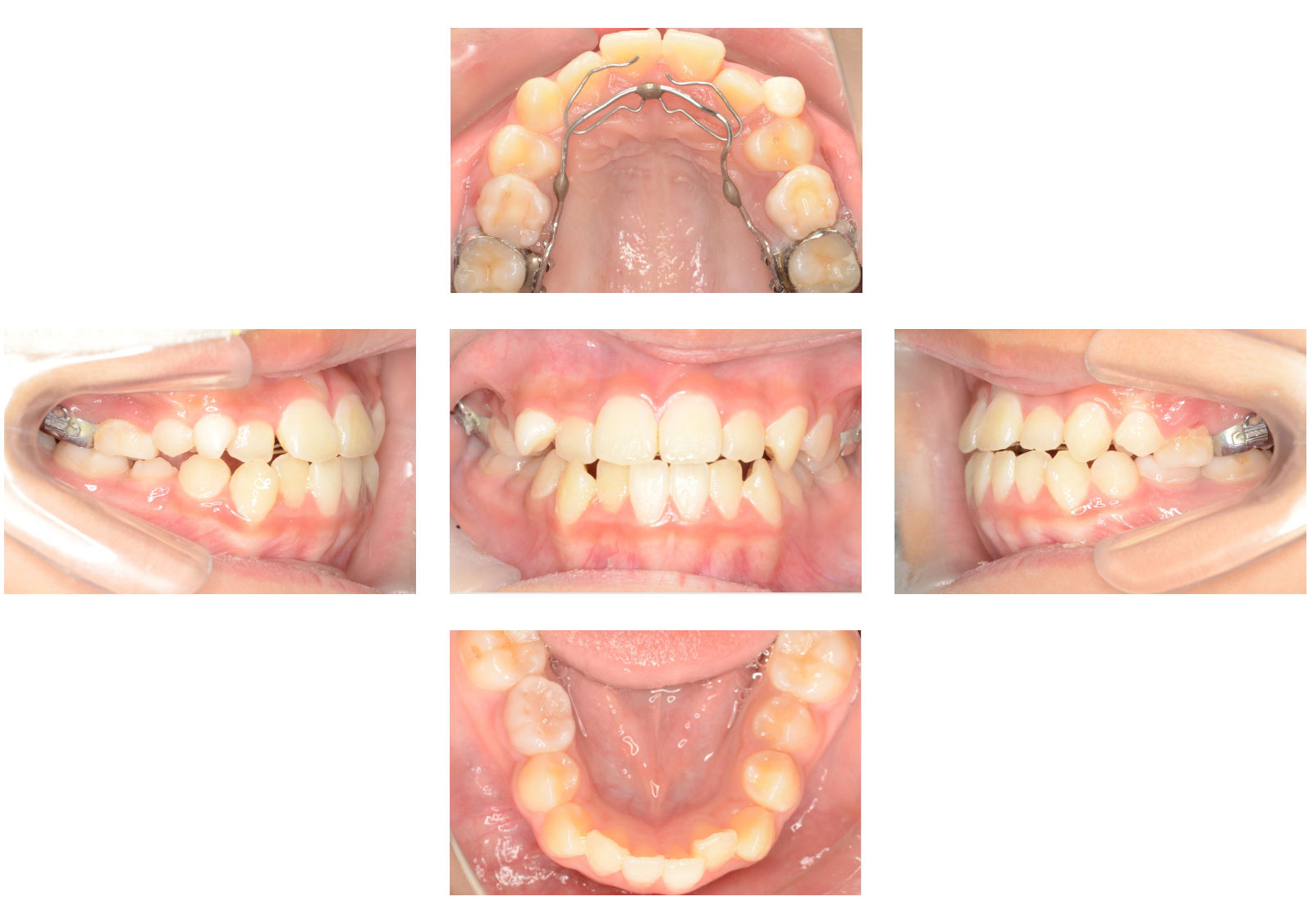
リンガルアーチ

歯の裏側に通した針金からバネの力で内側に入り込んだ歯を前に押し 出す装置です。1~4本程度の反対に生えた歯を押すのに適しています。 表側から見えにくいこと、比較的虫歯になりにくいことが特長で、治療期間は1年程度です。

リンガルアーチ
症例画像
拡大床

歯が並ぶすき間が不足している場合に、すき間を作る装置です。

装置の真ん中にねじが入っていて、それを回すことで徐々にすき間を作って行きます。取り外しができるので歯みがきがしやすく、むし歯になりにくいことが特長で、装着期間は3~4か月程度です。

拡大床
急速拡大装置

拡大床と同様に歯が並ぶすき間をつくる装置ですが、歯ならびだけでなく、あごも大きくすることができます。

取り外しができないため、違和感がある装置ですが、歯が並ぶすき間の不足を劇的に改善することが可能なため、でこぼこの量が大きい場合に使用することが多くなります。装着期間は1~2か月程度です。

急速拡大装置
フェイスマスク(上顎前方牽引装置)

「受け口」などの、下顎前突と呼ばれるかみ合わせに用いる装置で、上あごを前に引っ張り出すことで、上下のかみ合わせを改善します。
上の歯にリンガルアーチを付けますが、寝ている時と家にいる時だけマスクを付けて引っ張るため、学校に行く間など、引っ張っていない時はあまり目立ちません。装着期間は1~1.5年程度です。

フェイスマスク
FKO

「出っ歯」などの、上顎前突と呼ばれるかみ合わせに用いる装置で、下あごを前に成長させることで、上下のかみ合わせを改善します。

取り外し型の装置で、寝ている時だけ使用するため、装置が見えることは無く、普段の歯みがきも非常にしやすいです。そのため、日常生活での負担が非常に軽いことが特長です。装着期間は1年程度です。

FKO

当院が子ども専用の矯正装置を用いる理由

当院では、「見た目にコンプレックスがある」など、ご事情がない限りは、小学校低学年から大人と同じワイヤー装置を着けて矯正治療をすることを、おすすめしていません。大人の歯は5~6歳から順に生え変わり、すべての歯が生えるまで約6年かかります。もし、今生えてきた歯がねじれているからと言って、ワイヤーで並べてしまうと、その隣に生える歯のすき間がなくなり、さらにひどい、ねじれや生え変わりの問題が生じることもあります。

そうして、その場しのぎで、ねじれた歯などを治療していくと、長い場合、10年近くもの間、口の中に装置が入りつづけることになり、虫歯の原因となることが多く、お子さんご本人もご家族も非常に負担が大きいです。

顎が小さい人は一般的に咬む力が弱く、たとえ歯ならびをきれいにしても、うまくものが噛めないままであるとの報告があります。 (「そしゃく」、「硬いものと柔らかいものの食べ分け」の研究において、顎が極端に小さかったり、ゆがんだりすると、生涯にわたって異常な「噛み方」が身についてしまうことなどが国際的な学術論文や学会などで報告されています)

Motor coordination of masseter and temporalis muscle during mastication in mice D.Utsumi et al
https://link.springer.com/article/10.1007/s12548-011-0068-6

もし、大人の歯ならびに生え変わった時に、顎の大きさや位置が適切で、歯のバランスが取れていれば、多少のねじれがあったとしても、ごく短期間で矯正治療を終えることができます。

小さい頃から大人用のワイヤー矯正装置を着けても顎は大きくなりません。小さい顎に対して、無理やり歯を並べることは、一輪挿しの花瓶に100本のバラの花を挿すようなもので、体にもとても負担が大きい行為です。口元が出て、口が閉じにくくなったり、もとの凸凹に戻ってしまったり、大人になった時に歯周病などで多くの歯を失うリスクも生じます。

当院では、歯ならびを単にきれいにするのではなく、生涯にわたって健康に過ごせる口内環境作りのお手伝いができればと考えています。そのためには装着期間をできるだけ短く、適切な治療法で、お子さんご本人にもご家族にも負担が少ない治療を心がけています。

適正な開始時期にスタートする利点

  • 成長力を利用して治療するため、あごを適切な大きさ、位置に改善できる
  • あごが適切な大きさ、位置になっているため、生え変わり時にトラブルが起きにくく、大人の歯ならびが正しいかみ合わせになりやすい
  • 大人の場合、歯を抜かないと治せないかみ合わせでも、歯を抜かないで治療できる可能性がある
  • 大人の場合、手術をしないと治せないほどの重度のかみ合わせのずれがあっても、手術を回避できる可能性がある
  • 大人のワイヤー矯正を回避できる可能性がある

適正な開始時期に矯正治療をスタートすることは、お子さまにとって、上記のようにメリットがたくさんあります。

時期は個人差がありますので、まずは初診相談を受診し、矯正歯科を専門に行う歯科医師の見解を確認してください。
矯正治療をスタートする・しないに関わらず、適正な開始時期を逃さないよう早めに初診相談を受診することをおすすめします。