歯並びについて

開咬

開咬とは

開咬(かいこう)は、奥歯でカチンと噛んだときに、普通の人は前歯を含めた全ての歯が上下できれいに合わさります。しかし、奥歯しか噛み合わず、前歯で食べ物がかみ切れない不正咬合を「開咬」と言います。

唇を閉じてもポカンと口が開いた様な面長な顔立ちだったり、しゃべり方が舌ったらずであったりすることもあります。

症例画像

開咬の原因

小さいころから指しゃぶりをしていたり、舌を前歯にはさみ込むくせがあったりする場合に、上下の前歯の間に舌の分のすき間ができてしまい開咬になると言われています。

 他にもさまざまな原因があり、極端に舌が大きいために歯が舌に押されてしまってかみ合わなくなったり、リウマチや顎関節症などで下あごが変形したりしてなることもあります。また、先天的な疾患でも起こることが報告されています。

開咬を放置した場合の将来的なリスク

足を骨折した後、ギブスなどの固定具を外したら、すぐには思うように走ったり歩いたりできないように、体の使っていない部分はどんどん衰えていきます(廃用萎縮)。

 口の中も同じで、開咬のように普段から前歯が咬んでいない場合、歯茎や顎の骨がやせていき、虫歯や歯周病で前歯を失う可能性が非常に高くなります。

 また、奥歯についても、他の歯が担う咬む力(咬合力)を一手に受けることで、耐えきれない程の力がかかってしまい、歯が割れてしまったりすることがあります。割れた歯の治療を行っても、強い力で差し歯などが壊れてしまうため、一般的な歯科治療では、特に予後が悪い不正咬合であると言われています。

開咬の症例写真

前歯のガタガタ


性別 女性
年齢 14歳
装置 表側矯正装置(メタル)
抜歯 上左右小臼歯、下左小臼歯、下右前歯 4本
期間 2年3か月
回数 30回
方針 上下前歯のガタガタと上下の歯が奥歯でしか咬まない状態でした。 歯が並ぶスペースを作るために、上下左右の歯を抜歯して、治療を行いました。
リスク もともと舌を前歯のくせがあり、治療と並行してくせを取る訓練を行いました。かみ合わせが悪くなった原因であるため、治療後もくせが戻らないように観察が必要です。

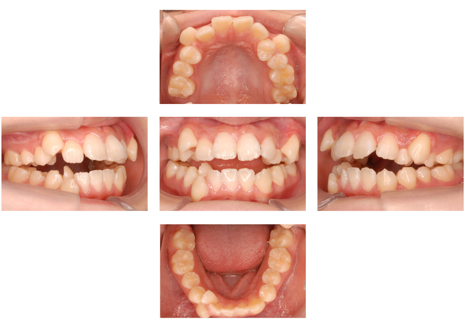
矯正前


症例画像

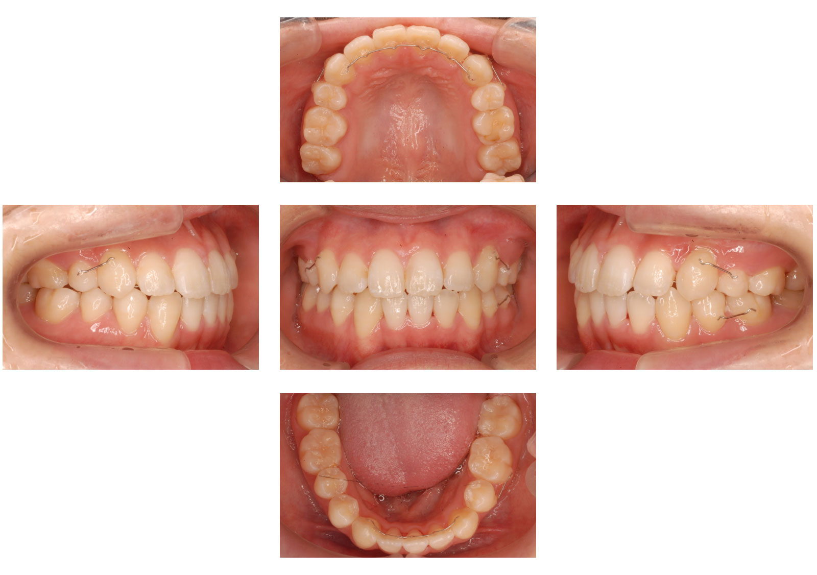
矯正後


症例画像

治療費


検査診断料 ¥35,000+tax
表側矯正装置(メタル) ¥740,000+tax
処置料 なし

開咬に関するよくある質問

重度の開咬では、上下のあごの骨が極端にずれていることが多く、歯だけを動かすことで改善すると、歯に大きな負担がかかり、傷んでしまう恐れがあるため、歯ならびの土台となるあごの骨の手術を併用した矯正治療を勧めることがあります。

ただし、中には、舌のくせや、奥歯の生え方が原因で開咬になっていることもあります。この場合、舌のくせを取ったり、奥歯を正しい位置に動かしたりする普通の矯正治療で改善可能な場合もあるため、一度、矯正相談を受けることをおすすめします。

A