歯並びについて

空隙歯列

空隙歯列とは

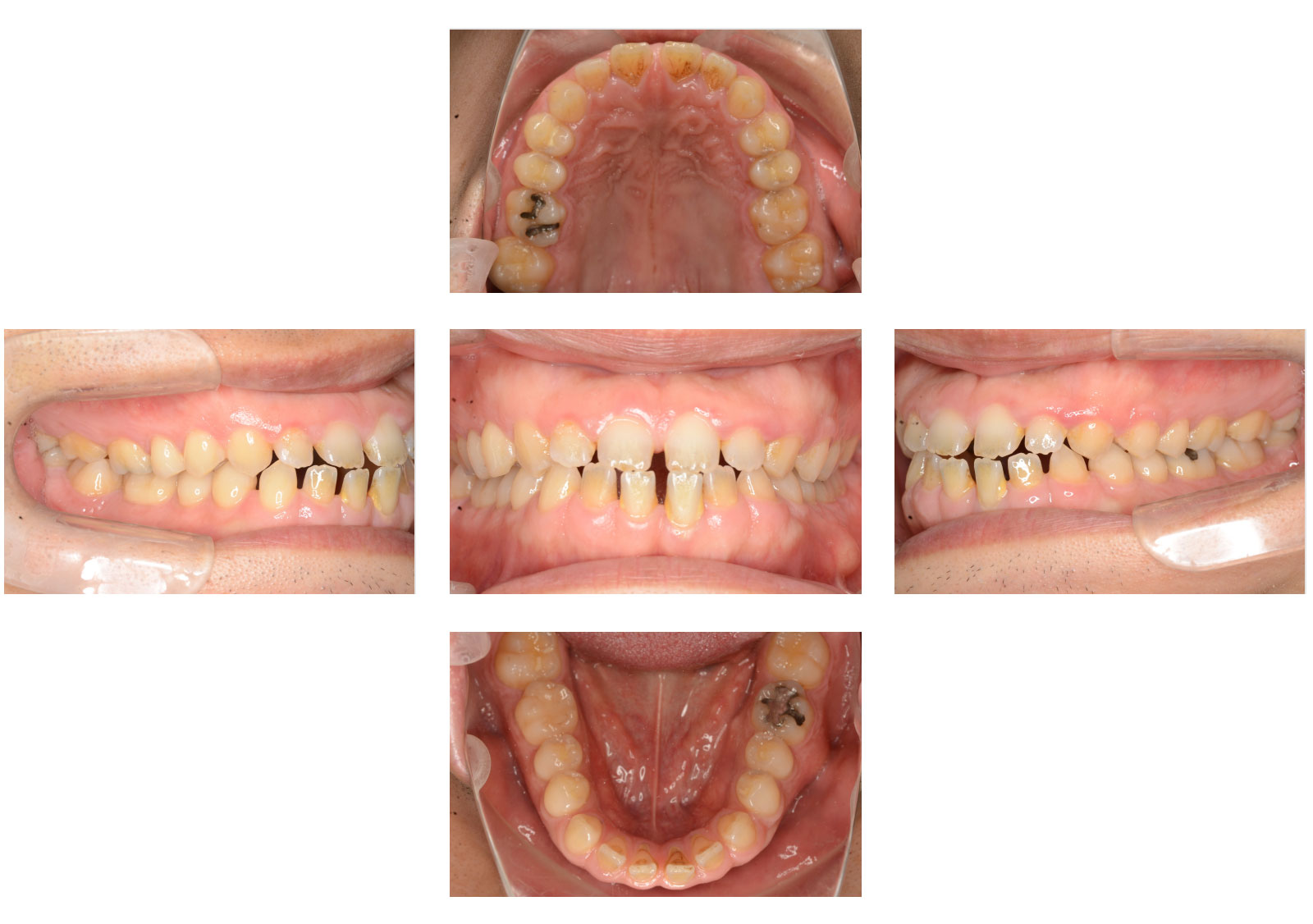
空隙歯列(くうげきしれつ)は、歯と歯の間にすき間が生じて、歯の裏側にある舌が見えたり、歯と歯の間が黒く見えたりする不正咬合です。一般的に「すきっ歯」とも呼ばれます。下顎前突(受け口)など、他の不正咬合と同時に起こることもあります。

症例画像

空隙歯列の原因

口の中では「歯」が、土台となる「あご」に植わっています。あごの大きさと歯の大きさのバランスが正常であれば、きれいな歯ならびになりますが、あごが極端に大きかったり、歯が小さかったり、本数が少なかったりして、「歯」と「あご」の大きさのバランスが崩れると、空隙歯列になります。

空隙歯列を放置した場合の将来的なリスク

歯と歯の間にすき間があると、食べ物が頻繁に歯と歯の間にはさまってしまう状態(食片圧入)になりやすいです。この状態が長期間続くと、歯周病(歯ぐきの病気)になり、あごの骨が無くなってしまったり、歯と歯の間の歯茎がやせたりして、見た目が悪くなったりすると言われています。

空隙歯列に関するよくある質問

矯正歯科も審美歯科も見た目を良くするという目標は同じですが、治療内容が全く異なる分野です。矯正歯科は自分の歯を正しい位置に動かすことで治療を行いますが、審美歯科ではいわゆる「差し歯」にすることで見た目を改善します。

すきっ歯の部分だけを差し歯にして治療すると、歯の大きさが非常に大きくなり、見た目が劣ることから、4~6本の歯を差し歯にすることが審美歯科では一般的で、これにより費用が高額になることがあります。

矯正で治した天然の歯は永久的に美しいですが、審美歯科の場合は残念ながら、やりかえ無しでは美しさを維持できません。差し歯と歯ぐきとの境目が黒くなる、さし歯自体が変色したり欠けたりする、虫歯になるなどにより、数年ごとにやりかえが必要となることから、可能な限り矯正での治療をおすすめします。

矯正治療のデメリットとしては、審美歯科と比較して期間がかかること、費用が高いことが挙げられますが、治療計画次第では治療期間の短縮が図れたり、費用を抑えることのできる治療法が適用できる可能性があるため、一度矯正相談を受けることをおすすめします。

A

空隙歯列の矯正治療は、歯を全体的によせることで、歯のすき間を埋める治療を行います。この動きは裏側矯正でもマウスピース型矯正装置(インビザライン:完成物薬機法対象外)でも可能です。空隙歯列の状況によっては、裏側の装置などが見えてしまうこともありますので、一度、矯正相談などでご相談することをおすすめします。

A