矯正装置について

表側矯正

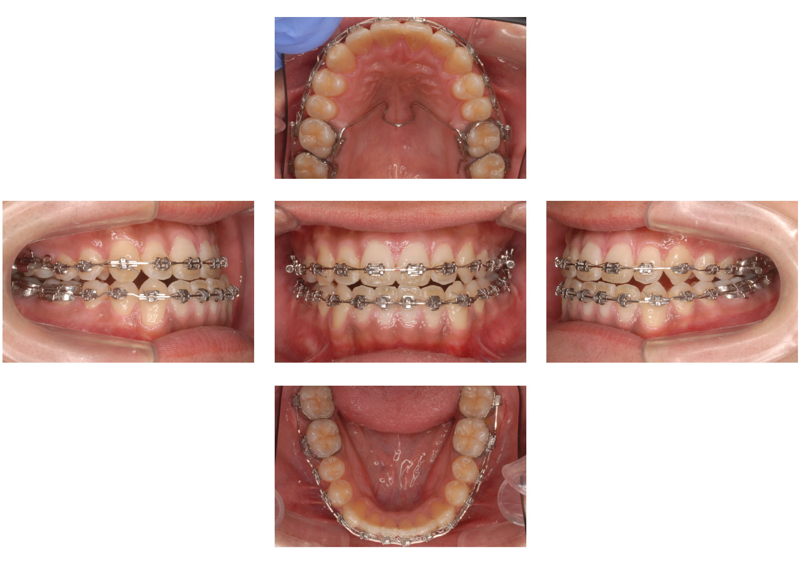
メタルブラケットによる表側矯正


1つ1つの歯の表面にブラケットと呼ばれる装置を付け、それらを細い金属製のワイヤーで結んだり、引っ張り合ったりする装置です。

メタルブラケットの場合、ブラケットは金属製となり、クリアブラケットよりも見た目は目立ちますが、ワイヤーもブラケットも金属なので摩擦が少ないことから、電車が線路を走るようにスムーズに歯が移動しやすい傾向があります。また、装置も比較的小さいために歯にかかる力が小さくなることから、同じワイヤーを付けた際には大きなブラケット装置よりも違和感や痛みが少なくなると言われています。"

メタルブラケットによる表側矯正

クリアブラケットによる表側矯正

歯の表面に付けるブラケットが、白くて透明感のあるセラミック製で、治療用のワイヤーに白く目立ちにくい加工を施しています。そのため、少し見ただけでは人に気づかれにくいのが特長です。 舌側矯正装置よりも費用がリーズナブルで、マウスピース装置よりも治療可能なかみ合わせが多い装置です。

クリアブラケットによる表側矯正