お悩み別で探す

目立たない装置で治療したい

目立たない装置で治療したい方の手技・装置の一覧・詳細

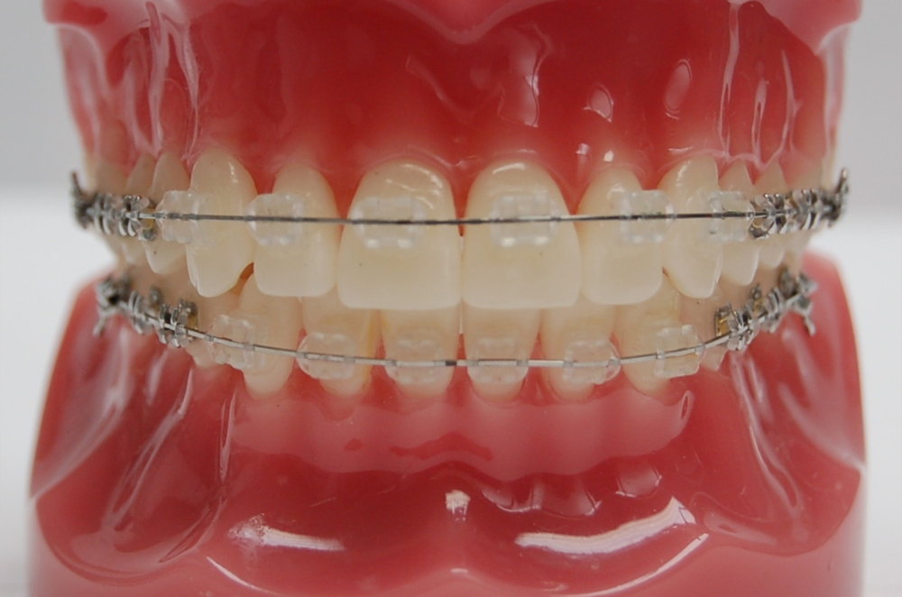
表側矯正
(クリアブラケット)

歯の表面に付けるブラケットが、白くて透明感のあるセラミック製で、治療用のワイヤーに白く目立ちにくい加工を施しています。そのため、少し見ただけでは人に気づかれにくいのが特長です。

裏側矯正装置よりも費用がリーズナブルで、マウスピース型矯正装置よりも治療可能なかみ合わせが多い装置です。

表側矯正

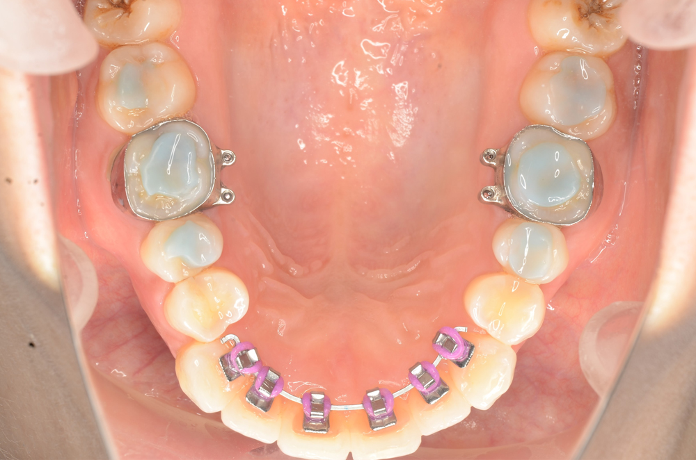
歯の裏側(舌側)からの矯正
(リンガル、ハーフリンガル)

1つ1つの歯の裏側に金属製のブラケットを付け、それらを細い金属製のワイヤーで結んだり、引っ張り合ったりする装置です。歯の裏側に装置やワイヤーを付けるため、表側から装置が見えることはありません。そのため、装置をつけていることを気づかれたくない方におすすめの装置です。また、マウスピース型矯正装置(インビザライン:完成物薬機法対象外)ではできない、複雑な歯の移動が可能なため、様々なかみ合わせの不正も治療することができます。

人から見えにくい下の歯の装置を、表側矯正のクリアブラケット(白い表側矯正)にして、上の歯だけリンガルにする「ハーフリンガル」という装置にすることも可能です。

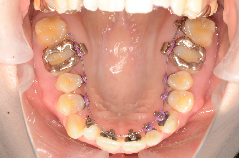
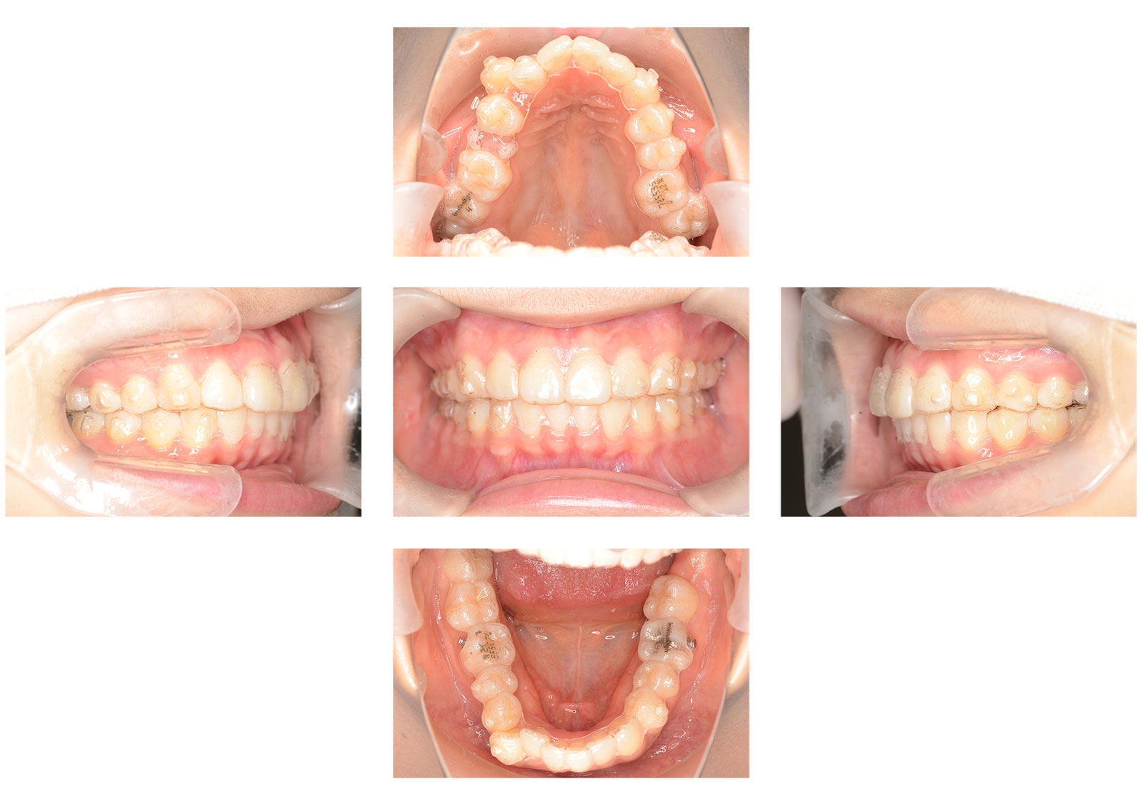
裏側矯正
症例画像

マウスピース型矯正装置
(インビザライン:完成物薬機法対象外)

マウスピースは透明でほとんど目立ちません。歯にぴったりフィットするので、ワイヤーを用いた矯正治療とは異なり、違和感が少なく、しゃべりやすいです。また、結婚式、卒業式、写真撮影など、どうしても装置を付けたくない日には外しておくことができます。

他にも「通院回数が少ない」「むし歯になりにくい」など、他の治療法にはないメリットが多いことが特徴です。

インビザライン
症例画像

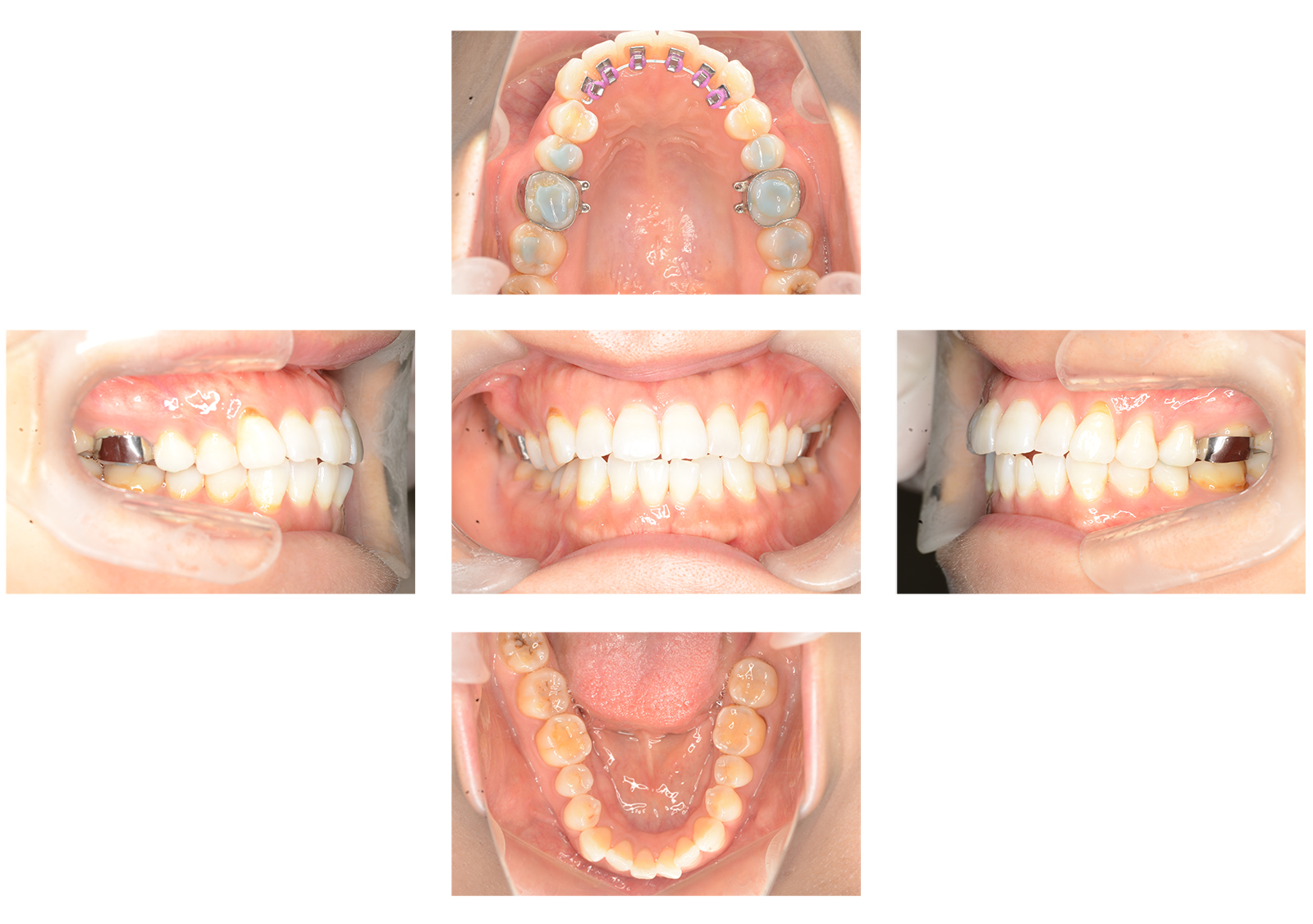
裏側からの部分矯正

「費用を抑えたいけれど目立ちたくない」「人に気づかれないように1本だけ出ている歯ならびを治したい」など、お困りの方におすすめの治療法です。

前歯の裏側にだけブラケットを付けるため、人に知られずに矯正治療を行うことができます。 歯を少しだけ小さく削ることで、でこぼこを治すすき間を作って治療するため、比較的短期間に前歯をきれいに整えることができます。ただし、でこぼこの量が大きすぎる場合には前歯が全体的に前に出てしまい、上下の前歯が当たらなくなってしまうため裏側部分矯正では治療できない場合があります。

裏側部分矯正
症例画像