お悩み別で探す

治療中の痛みを少なくしたい

治療中の痛みを少なくしたい方の手技・装置の一覧・詳細

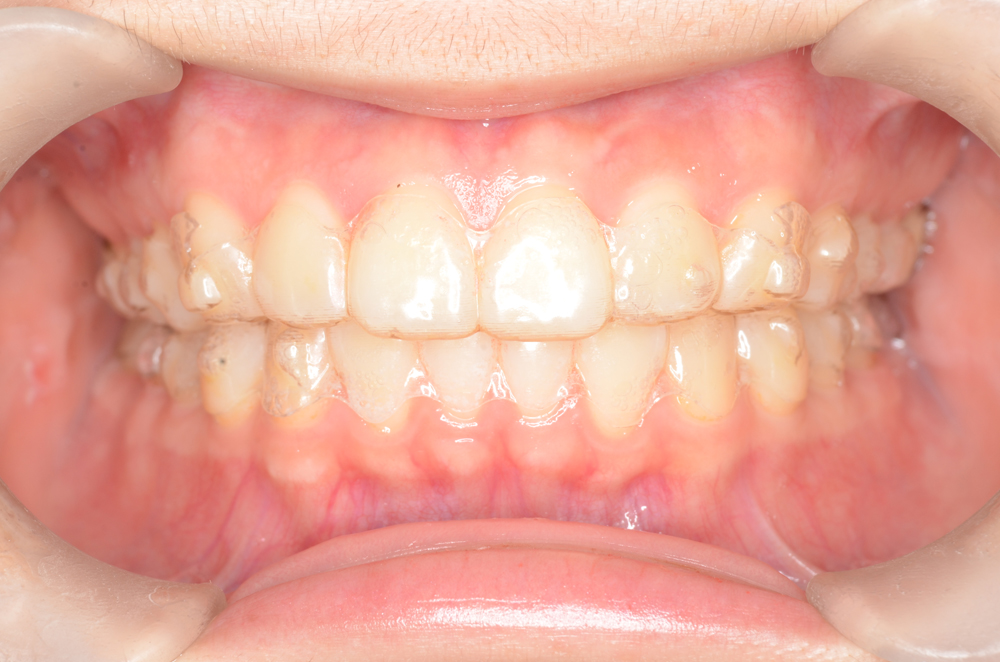
マウスピース型矯正装置(インビザライン:完成物薬機法対象外)

マウスピース型矯正装置(インビザライン:完成物薬機法対象外)はワイヤーを使う矯正治療と比較してマウスピース1枚ごとの歯を動かす距離が小さいこともあり、矯正治療中の痛みが心配な方におすすめの治療法です。

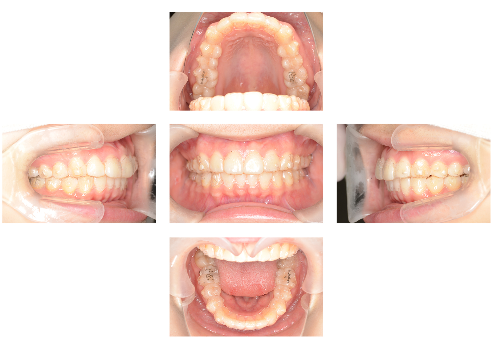
症例画像
症例画像

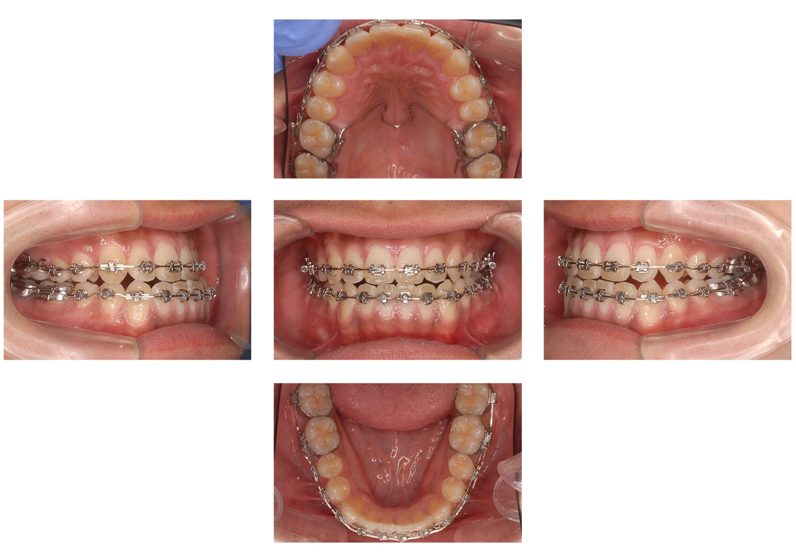
表側矯正(メタルブラケット)

当院で使用しているメタル装置は、歯に付けるブラケットの横幅が狭く、となり合う歯との装置同士の間(ブラケット間距離)が通常の矯正装置よりも長くなっています。このことで、ワイヤーが効率良くしなり、適度な力が歯に伝わることで、歯に過度な力が加わりにくいようにして、でこぼこを治すことが利点として挙げられます。

症例画像

当院で使用しているメタル装置は、歯に付けるブラケットの横幅が狭く、となり合う歯との装置同士の間(ブラケット間距離)が通常の矯正装置よりも長くなっています。このことで、ワイヤーが効率良くしなり、適度な力が歯に伝わることで、痛みが少なく、スピーディーにでこぼこを治すことが可能となりました。

症例画像