矯正装置について

マウスピース型矯正装置

マウスピース型矯正装置(インビザライン:完成物薬機法対象外)とは


表側矯正、裏側矯正とは異なる矯正治療法で、透明なマウスピースを歯にはめることで治療を行います。

インビザライン

コンピュータシミュレーションを用いて歯をきれいに並べ、これに合わせたマウスピースを作り、実際にこれを歯にはめて動かしていく治療法です。

最初の歯ならびに、きれいな歯ならびのマウスピースをはめようとしても、ズレが大きすぎて、きちんと歯にはめることはできません。そこで、シミュレーション上ですこしずつ歯を動かした数十枚のマウスピースを作成し、定期的に順次交換していくことで、徐々に歯を動かしていきます。

マウスピース型矯正装置(インビザライン:完成物薬機法対象外)の特徴

装置のメリットは非常に多く、「目立たない」「取り外しができる」「通院回数が少ない」「むし歯になりにくい」などが挙げられます。

マウスピースは透明でほとんど目立ちません。そのため、装置の見た目で矯正治療をためらわれている方におすすめです。また、歯にフィットするので、ワイヤーを用いた矯正治療とは異なり、違和感が少なく、しゃべりやすいです。

ワイヤーを使った装置は常に口の中に装置が入っていますが、マウスピース型矯正歯科装置(インビザライン:完成物薬機法対象外)は外したいときには自分で外せるため、結婚式、卒業式、成人式など、装置を付けたくない日には外しておくことができます。

通院間隔はおおむね2ヶ月に1回程度で、状況によりさらに間隔を延ばすことも可能です。そのため、ワイヤー矯正のように頻繁に通院する必要がありません。受験、留学、転勤、海外赴任などのさまざまな環境の変化に対応しやすく、今まで通院が困難で歯ならびの治療をためらわれていた方にもおすすめできる治療法です。

外した状態で食事ができるため、食事が装置に挟まることもありません。歯みがきもしやすいため、むし歯や歯周病になるリスクが低いことも特長です。

このようにメリットが多い治療ですが、きちんと指示通りに装置をはめることができない場合や、シミュレーションにて、マウスピースでの確実な移動が困難であると思われる場合には、マウスピース型矯正歯科装置とワイヤー矯正のそれぞれの治療メリットを生かし、組み合わせて治療を行うこともあります。

マウスピース型矯正装置(インビザライン:完成物薬機法対象外)について

米国Align technology社の製品で、インビザラインジャパン社から入手しています。材料は、日本の薬事承認を得ていますが、海外で制作されるため、国内では薬機法未承認の矯正装置となり、医薬品副作用被害救済制度の対象外となる場合があります。(国内において承認された同様の矯正装置はあります)

インビザラインは、1998年にFDA(米国食品医薬品局)により医療機器として認証を受けています。

これまで、世界中の100カ国を超える国々で1,300万人以上(2022年6月)の患者様に使用されている治療方法ですが、重篤な副作用の報告はありません。

マウスピース型矯正装置(インビザライン:完成物薬機法対象外)の症例

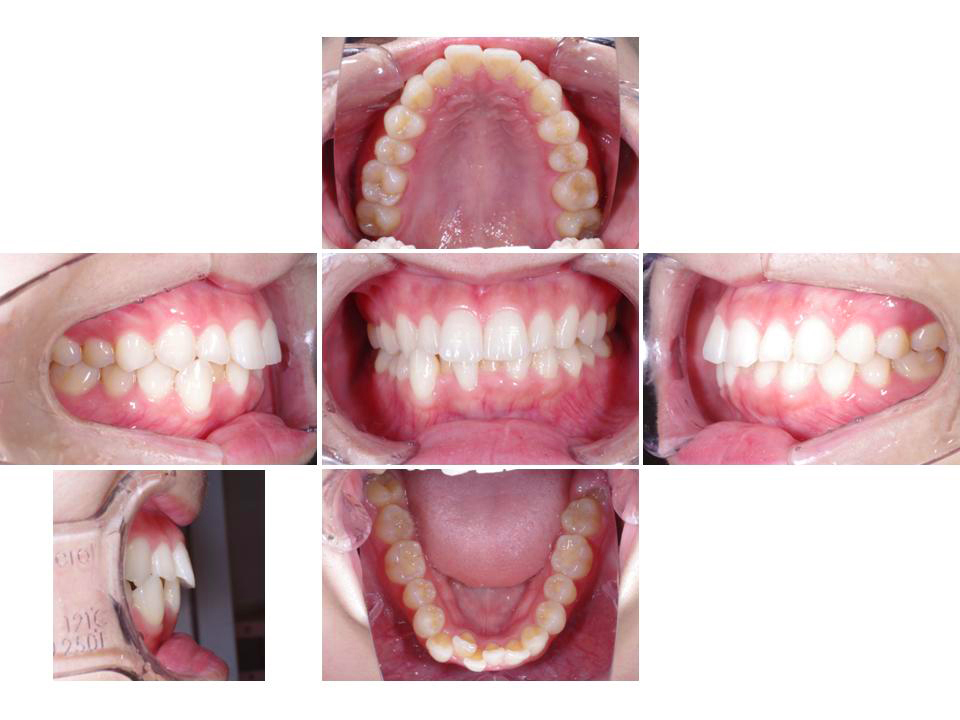
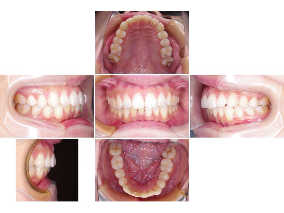
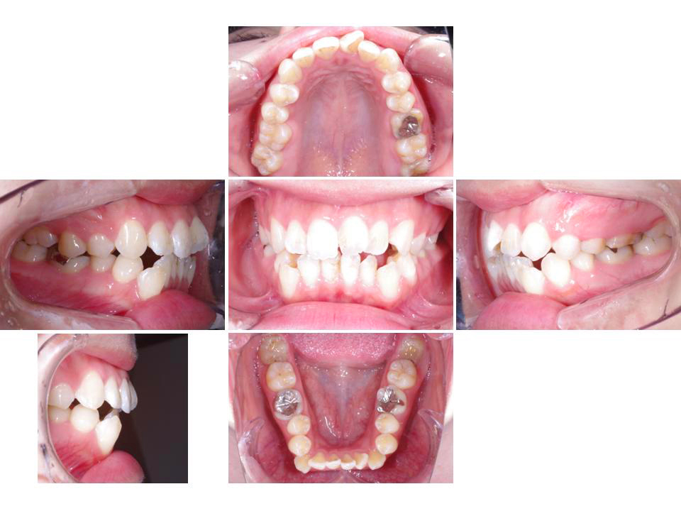
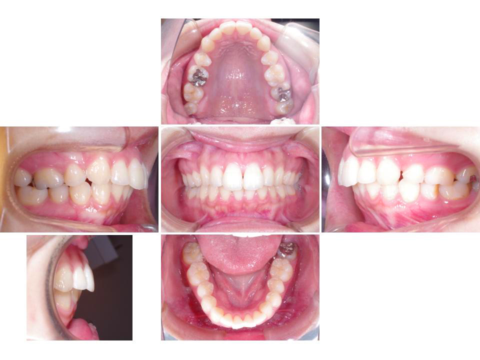
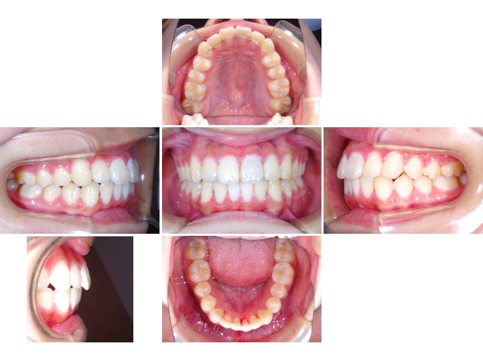
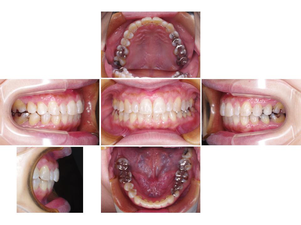
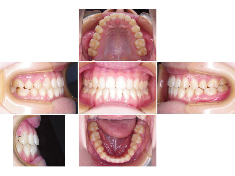
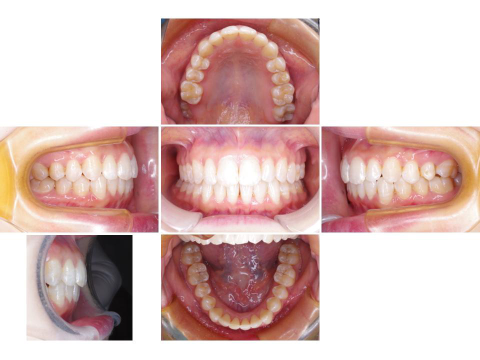
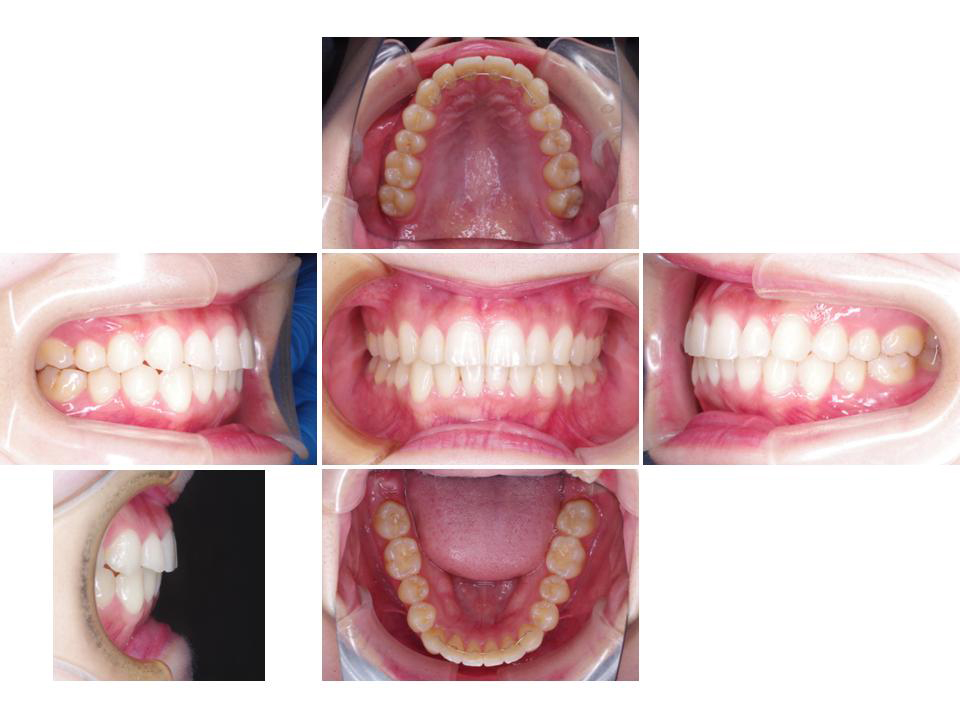
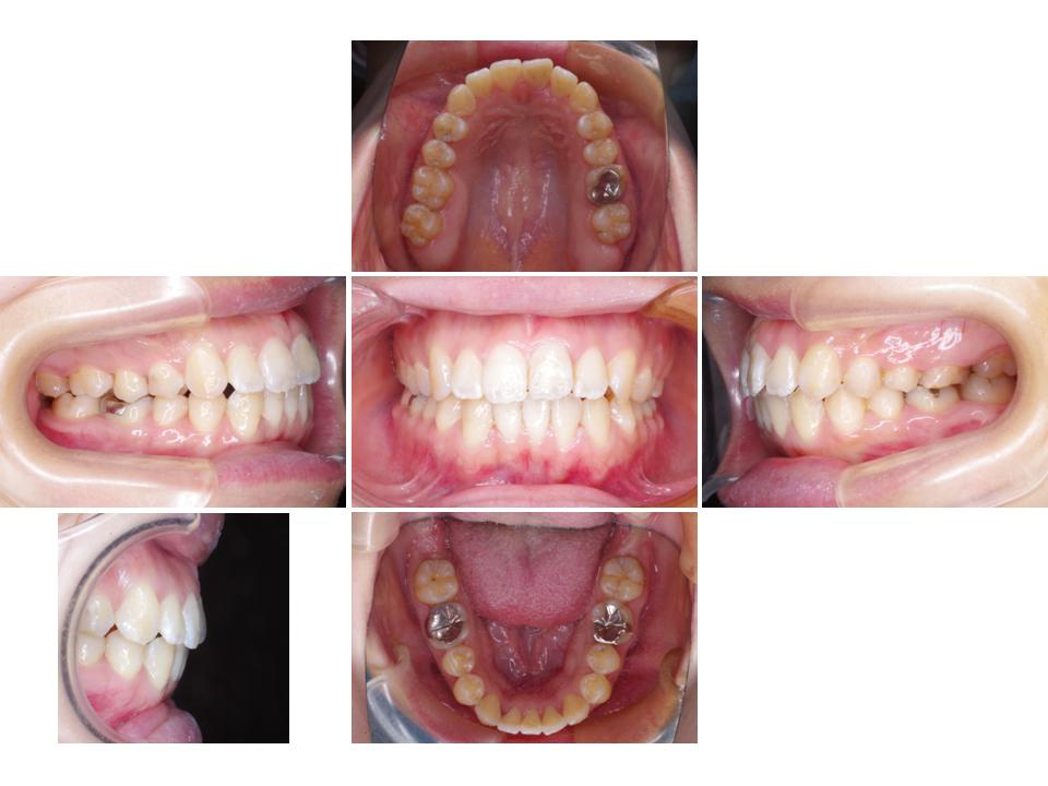
前歯の凸凹


性別 男性
年齢 30歳
装置 マウスピース型矯正装置(インビザライン:完成物薬機法対象外)
抜歯 上下左右の親知らず
期間 1年3か月
回数 10回
方針 左の上下のかみ合わせのずれが大きく、上下の歯にゴムかけを行い、歯ならびの位置修正を行いました。また、上の前歯が確実に動くよう、裏側にアタッチメントを付け、マウスピースのフィットを向上させるようにしました。治療計画では上の親知らずを抜歯予定でしたが、患者さんのご希望により、下の親知らずも抜歯して治療を開始したため、歯みがき等のトラブルも無く上下の歯をきちんとかみ合わせることができました。
リスク 顎間ゴムを継続的に使用することでかみ合わせの意図せぬずれが生じることがあり、治療に際しては注意が必要です。

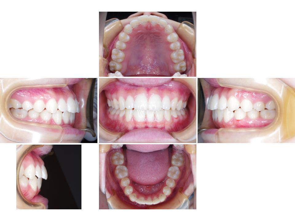
矯正前


症例画像

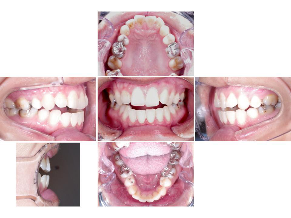
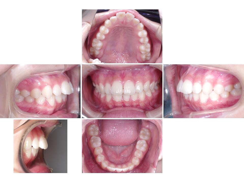
矯正後


症例画像

治療費


検査診断料 ¥35,000+tax
マウスピース型矯正装置(インビザライン:完成物薬機法対象外) ¥840,000+tax

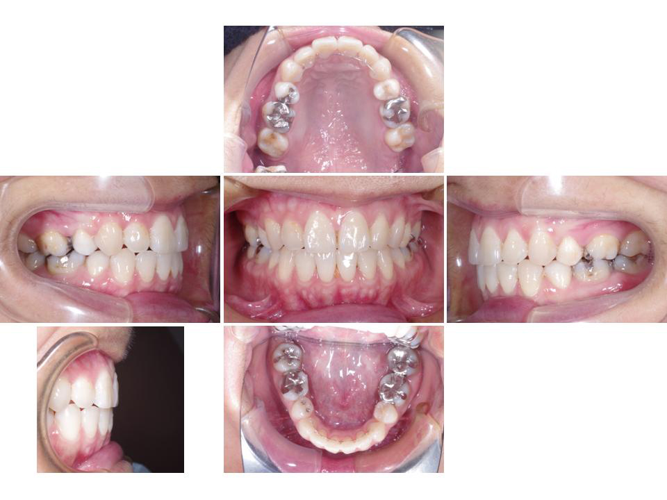
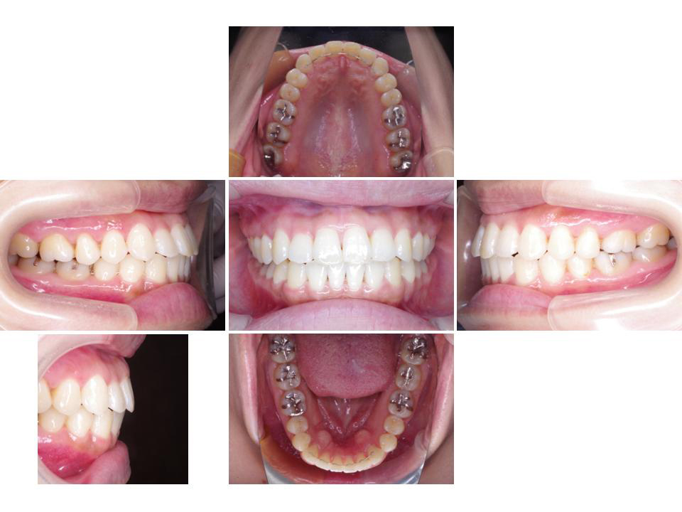
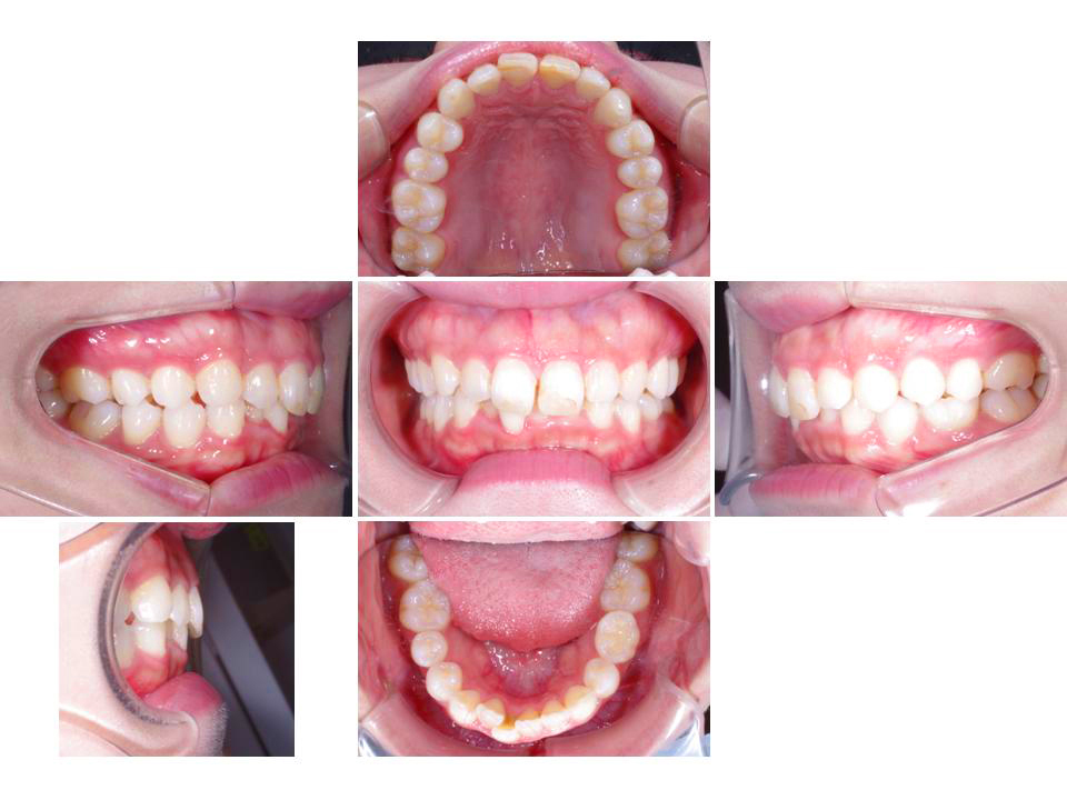
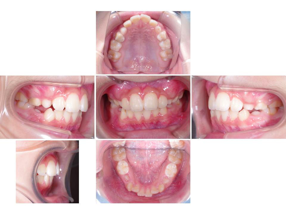
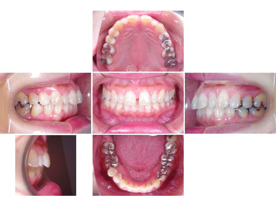
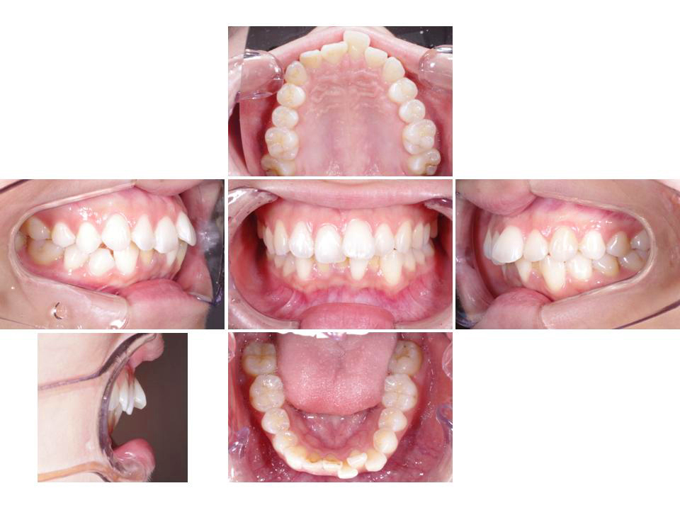
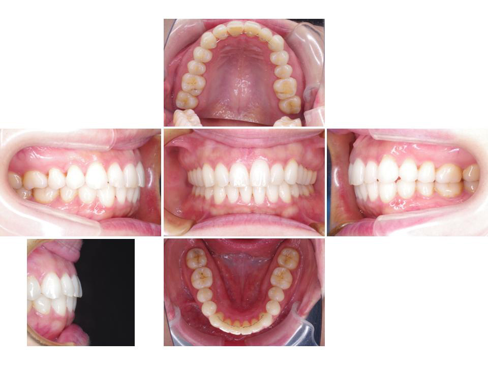
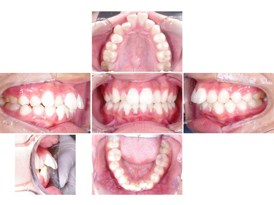
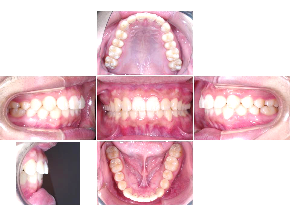
上下の前歯のガタガタ


性別 女性
年齢 15歳
装置 マウスピース型矯正装置(インビザライン:完成物薬機法対象外)
抜歯 非抜歯
期間 11か月
回数 8回
方針 患者さんと相談して抜歯による治療と利点欠点を比較した上で、大きく口元は下がらないものの歯を残せる非抜歯にて治療を行いました。抜歯の代わりに歯と歯の間を少しだけ削り、顎の中に無理なく歯を並べることができるようにしました。右のかみ合わせのずれは顎間ゴムで修正を行いました。
リスク 歯冠隣接面削合(IPR)は削合量を考慮して歯にダメージを与えないよう注意が必要です。

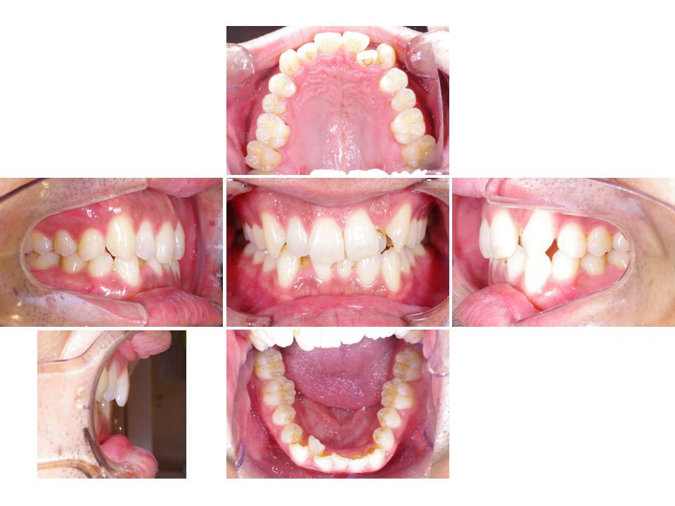
矯正前


症例画像

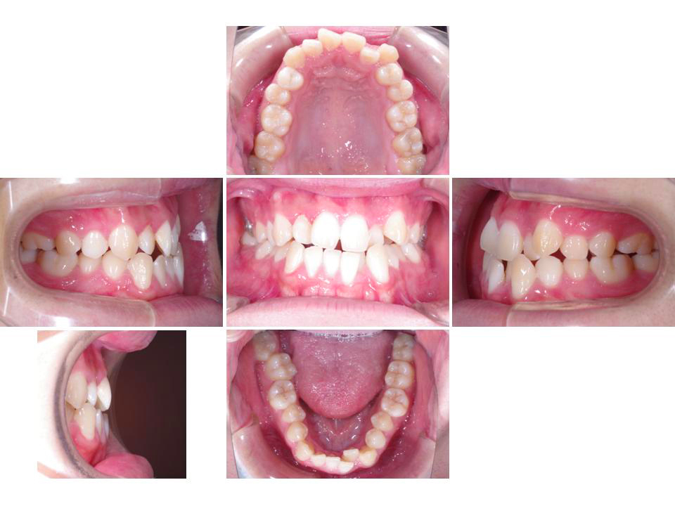
矯正後


症例画像

治療費


検査診断料 ¥35,000+tax
マウスピース型矯正装置(インビザライン:完成物薬機法対象外) ¥840,000+tax

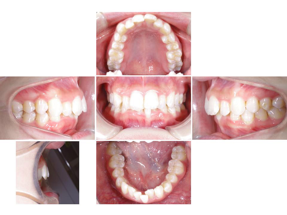
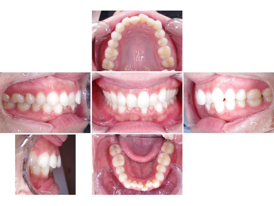
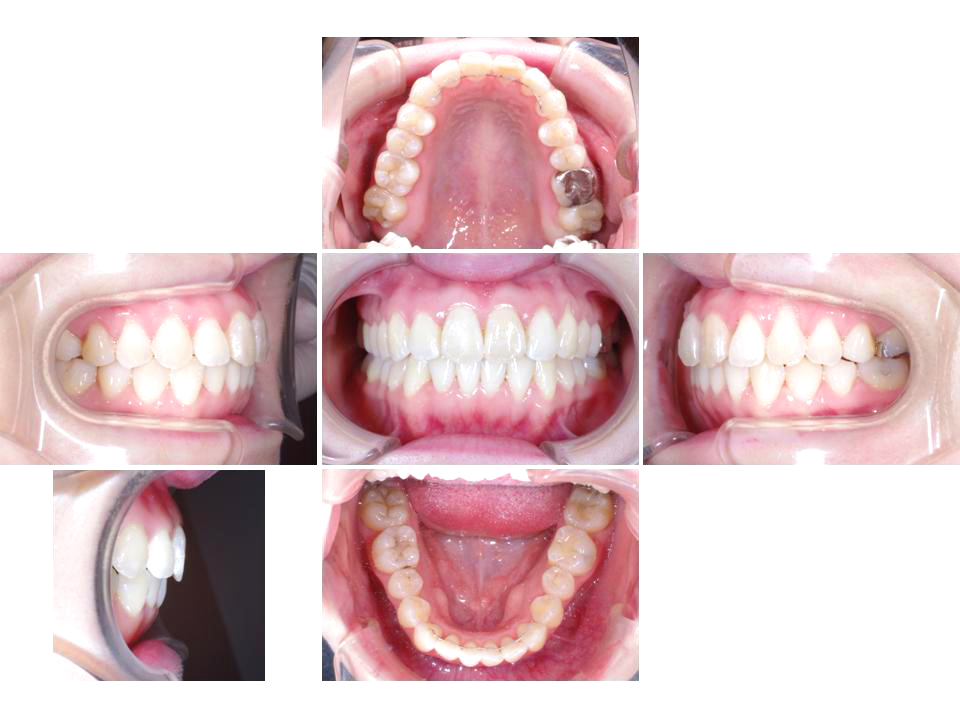
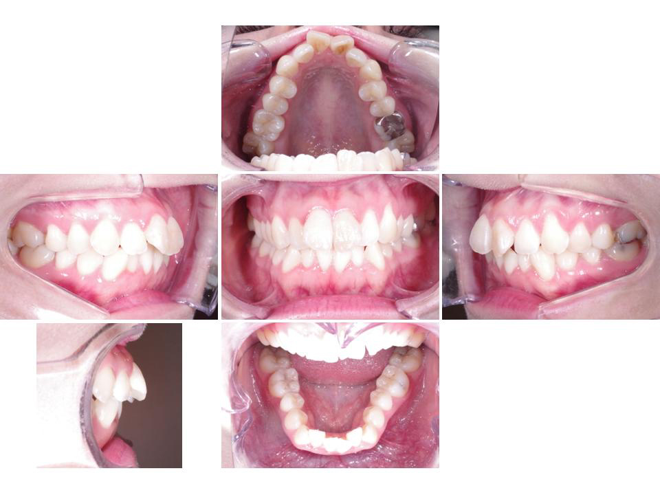
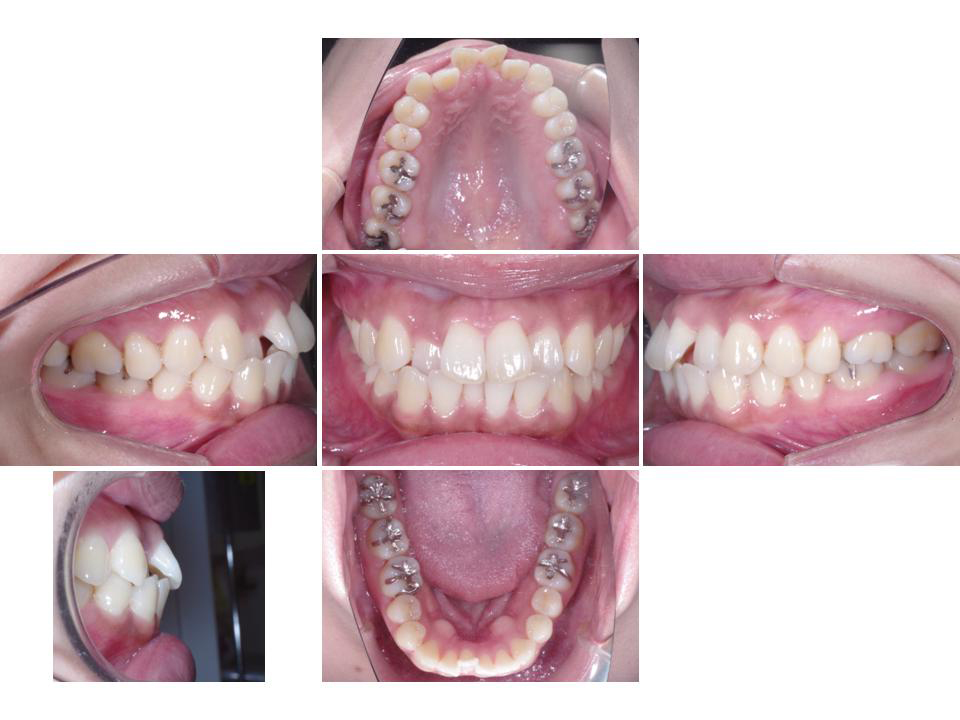
前歯が咬まない


性別 女性
年齢 38歳
装置 マウスピース型矯正装置(インビザライン:完成物薬機法対象外)
抜歯 非抜歯
期間 2年1か月
回数 19回
方針 小中学生の頃、他院にて矯正治療を行い、その後徐々に前歯が咬まなくなったとのことでした。舌の不良習癖が強く疑われたため、矯正治療と並行して筋機能訓練を行い、舌の運動を練習して徐々に歯を咬ませるようにしました。患者さんの協力も良好で、きれいなかみ合わせにすることができました。
リスク 舌や唇などの不良習癖がある場合には、くせの改善を行わないとかみ合わせが治らないだけでなく、後戻りなどの原因となることがあります。

矯正前


症例画像

矯正後


症例画像

治療費


検査診断料 ¥35,000+tax
マウスピース型矯正装置(インビザライン:完成物薬機法対象外) ¥840,000+tax

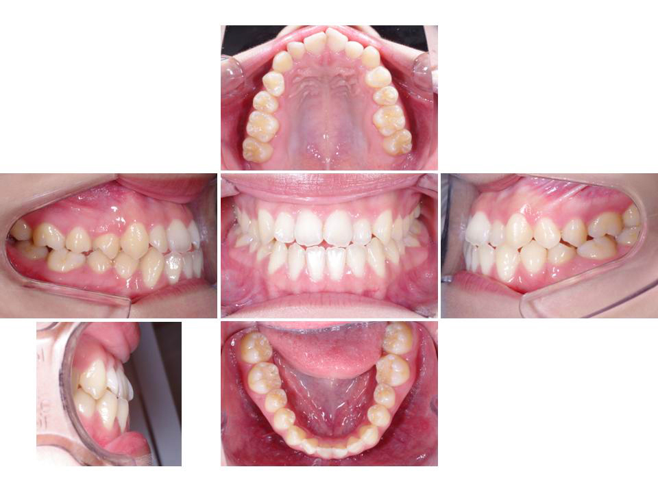
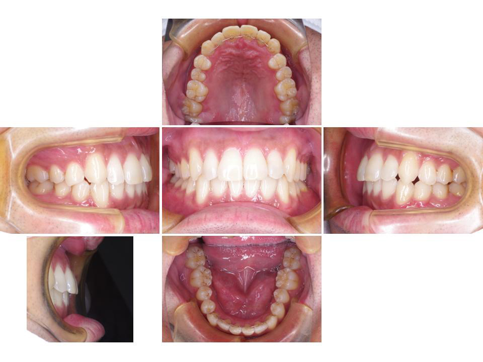
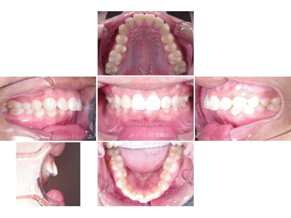
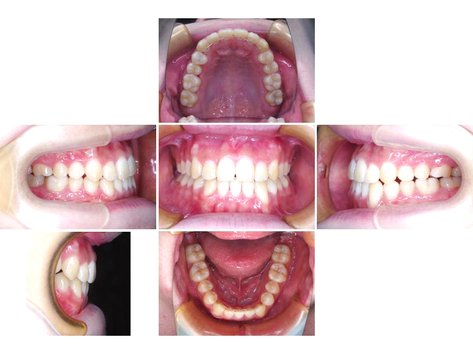
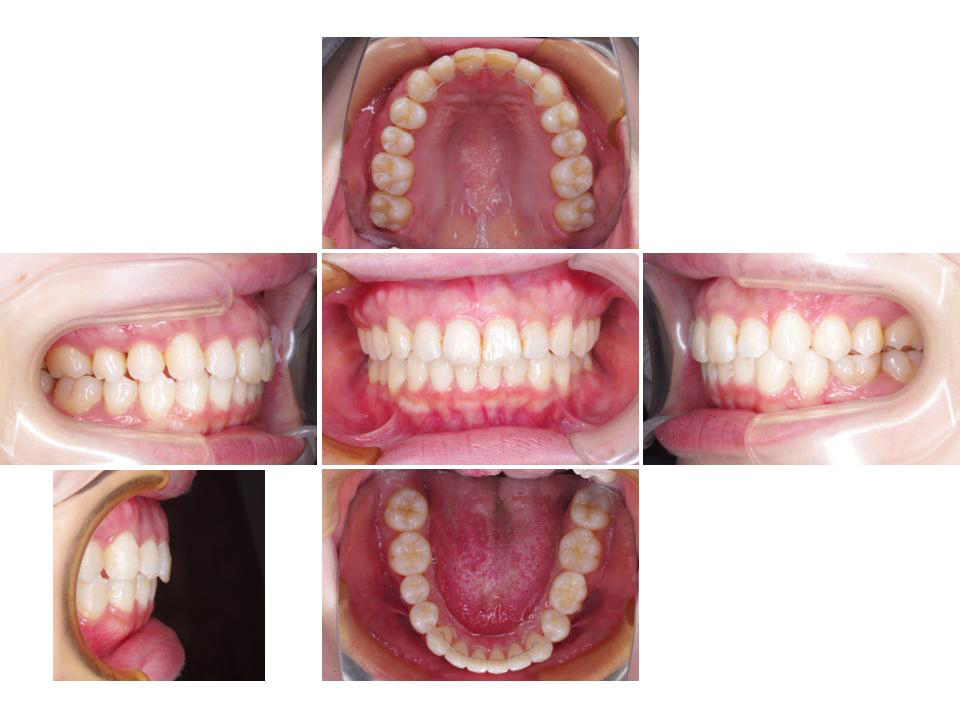
左上の前歯が前に出ている


性別 女性
年齢 25歳
装置 マウスピース型矯正装置(インビザライン:完成物薬機法対象外)+右下に部分的ワイヤーを一時使用
抜歯 非抜歯
期間 2年3か月
回数 17回
方針 中学生の頃他院にて矯正治療を行ったものの、徐々に後戻りし、前歯の凸凹が気になって来院されました。前歯の凸凹の量は抜歯を行うほどは大きくなく、非抜歯で並べることができました。右下の奥歯がかなり斜めに倒れていて、部分的にワイヤーを使用して歯根の向きを修正しました。根気強く治療を行った結果、良好なかみ合わせにすることができました。
リスク 歯の根が大きく傾いている場合などには、一時的、部分的にワイヤーを使用して治療を行う場合があります。

矯正前


症例画像

矯正後


症例画像

治療費


検査診断料 ¥35,000+tax
マウスピース型矯正装置(インビザライン:完成物薬機法対象外) ¥840,000+tax

下の歯がガタガタしている


性別 男性
年齢 18歳
装置 マウスピース型矯正装置(インビザライン:完成物薬機法対象外)
抜歯 非抜歯
期間 11か月
回数 10回
方針 もともと上の歯が大きく、上の歯ならびが前に出ているかみ合わせでした。スポーツを部活動でしていたため、けがのリスクが低いマウスピースによる治療を行いました。顎間ゴムにより上の歯ならびを後ろに下げつつ、若干上の歯と歯の間(コンタクトポイント)を削って上下の歯の大きさを合わせていきました。患者さんの装置装着状況も良好で、比較的短期間で治療を終えることができました。
リスク 上の親知らずなどが歯ならびを後ろに下げる場所にある場合には、親知らずの抜歯が必要となる場合があります。

矯正前


症例画像

矯正後


症例画像

治療費


検査診断料 ¥35,000+tax
マウスピース型矯正装置(インビザライン:完成物薬機法対象外) ¥840,000+tax

上の歯の前突、上下の歯の凸凹


性別 女性
年齢 22歳
装置 マウスピース型矯正装置(インビザライン:完成物薬機法対象外)
抜歯 非抜歯
期間 8か月
回数 7回
方針 凸凹の量と顎の大きさのバランスを計測した結果、上の歯が大きくバランスが悪いため、上の歯と歯の間を削って非抜歯にて治療が可能と診断し、マウスピースで治療を行いました。歯の移動状態も良好で、比較的早期にかみ合わせの改善を行うことができました。
リスク 歯の大きさと顎の大きさのバランスが極端に悪い場合には、抜歯が必要となる場合があります。

矯正前


症例画像

矯正後


症例画像

治療費


検査診断料 ¥35,000+tax
マウスピース型矯正装置(インビザライン:完成物薬機法対象外) ¥840,000+tax

受け口


性別 女性
年齢 21歳
装置 マウスピース型矯正装置(インビザライン:完成物薬機法対象外)
抜歯 下左右の親知らず
期間 1年7か月
回数 11回
方針 下の歯ならびが前に出ているかみ合わせのため、下の親知らずを抜いてできたスペースを利用し、顎間ゴムを使って下の歯ならびを後ろに下げました。患者さんのゴムかけやマウスピースの使用状態が良く、良好なかみ合わせにすることができました。
リスク 顎間ゴムを使用しないと奥歯が後ろに動かず、前歯が前に出てかみ合わせが悪化する場合があります。

矯正前


症例画像

矯正後


症例画像

治療費


検査診断料 ¥35,000+tax
マウスピース型矯正装置(インビザライン:完成物薬機法対象外) ¥840,000+tax

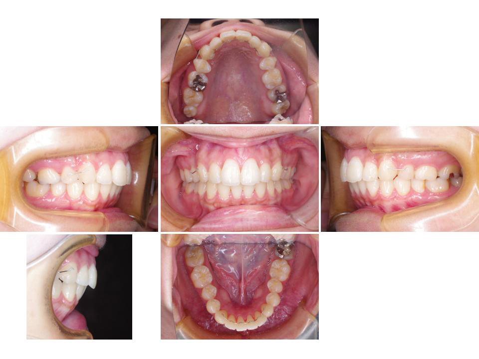
上の前歯のガタガタ


性別 女性
年齢 23歳
装置 マウスピース型矯正装置(インビザライン:完成物薬機法対象外)+下前歯に部分的ワイヤーを一時使用
抜歯 下右側切歯
期間 2年8か月
回数 22回
方針 骨格的に受け口気味のかみ合わせであったため、下の前歯1本を抜歯し、下の前歯の凸凹を取って上下の歯ならびを咬ませることにしました。下の前歯の根の向きが斜めになること、犬歯につられて前歯が咬まなくなるのを防止するため、マウスピース治療の前に下の前歯に部分的にワイヤーを使用しました。マウスピースが苦手とする歯の動きをワイヤーで治しておくことで、最終的に良好なかみ合わせとすることができました。
リスク 本ケースのように事前に歯の動きを予測してワイヤーを一時使用する場合以外にも、マウスピースでの治療途中にワイヤーを使用する場合もあります。

矯正前


症例画像

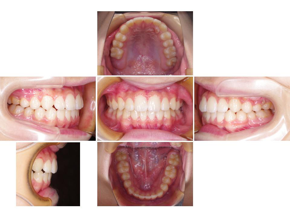
矯正後


症例画像

治療費


検査診断料 ¥35,000+tax
マウスピース型矯正装置(インビザライン:完成物薬機法対象外) ¥840,000+tax

下の前歯の凸凹


性別 女性
年齢 30歳
装置 マウスピース型矯正装置(インビザライン:完成物薬機法対象外)
抜歯 非抜歯
期間 1年4か月
回数 10回
方針 奥歯のかみ合わせのずれなどはほとんとないものの、上下の前歯の大きさのバランスが悪く、下の前歯が大きいために凸凹になっている状態でした。下の前歯の歯と歯の間を少しずつ削り、並ぶすき間を確保しました。
リスク 上下の歯の大きさのバランスが悪い場合には、歯と歯の間を削る処置などが必要となる場合があります。

矯正前


症例画像

矯正後


症例画像

治療費


検査診断料 ¥35,000+tax
マウスピース型矯正装置(インビザライン:完成物薬機法対象外) ¥840,000+tax

下の前歯がガタガタしている


性別 女性
年齢 39歳
装置 マウスピース型矯正装置(インビザライン:完成物薬機法対象外)
抜歯 非抜歯
期間 1年5か月
回数 11回
方針 左のかみ合わせのずれが大きく、上下の歯のゴムかけにより歯ならびの位置修正を行いました。途中、下唇を咬む癖により下の前歯が動きにくい状態が生じたため、筋機能訓練にて癖の改善を行いました。患者さんの協力も良好で、きれいなかみ合わせにすることができました。
リスク 唇や舌の不良習癖により、歯の動きが妨げされることがあるため、習癖の除去が必要です。

矯正前


症例画像

矯正後


症例画像

治療費


検査診断料 ¥35,000+tax
マウスピース型矯正装置(インビザライン:完成物薬機法対象外) ¥840,000+tax

上の前歯が前に出ている&すき間を閉じたい、下の前歯の凸凹


性別 女性
年齢 25歳
装置 マウスピース型矯正装置(インビザライン:完成物薬機法対象外)
抜歯 非抜歯
期間 2年2か月
回数 16回
方針 生まれつき左下の永久歯が1本不足していて乳歯が残っていました。かみ合わせ上、下の乳歯を残すことが必要で、弱い乳歯にダメージを与えないよう、乳歯周囲のマウスピースをゆるめに作成するなど配慮を行いました。時間はかかりましたが、結果として乳歯のダメージは認められず、良好なかみ合わせにすることができました。
リスク 乳歯は永久歯に比べて根が短く、矯正治療を行うことで傷んで抜歯が必要となる場合があります。

矯正前


症例画像

矯正後


症例画像

治療費


検査診断料 ¥35,000+tax
マウスピース型矯正装置(インビザライン:完成物薬機法対象外) ¥840,000+tax

上下前歯の凸凹


性別 女性
年齢 26歳
装置 マウスピース型矯正装置(インビザライン:完成物薬機法対象外)
抜歯 右上第二大臼歯
期間 2年2か月
回数 13回
方針 左側のかみ合わせのずれが大きく、上の歯を大きく後ろに下げる必要がありました。親知らずが埋まっていたため、一番後ろの奥歯を抜歯して後ろに下げる歯を減らして親知らずをかみ合わせに加えることで、治療の確実性を上げるようにしました。患者さんにしっかりと装置をはめてもらったのできれいなかみ合わせにすることができました。
リスク 親知らずが生えてこない場合にはワイヤーなどで牽引を行う場合があります。

矯正前


症例画像

矯正後


症例画像

治療費


検査診断料 ¥35,000+tax
マウスピース型矯正装置(インビザライン:完成物薬機法対象外) ¥840,000+tax

上の前歯が出ている


性別 女性
年齢 14歳
装置 マウスピース型矯正装置(インビザラインTeen:完成物薬機法対象外)
抜歯 非抜歯
期間 1年4か月
回数 10回
方針 生まれつき下の前歯が1本足りず、奥歯のかみ合わせが良好にもかかわらず、上の前歯が出ているかみ合わせでした。マウスピース矯正装置(インビザラインTeen:完成物薬機法対象外)の成長誘導装置を用いて成長期のあごの成長を利用し、下の歯ならびを前方に誘導することで、前歯が出ているのを改善することができました。
リスク あごの成長には個人差があり、十分な効果が得られないことがあります。

矯正前


症例画像

矯正後


症例画像

治療費


検査診断料 ¥35,000+tax
マウスピース型矯正装置(インビザライン:完成物薬機法対象外) ¥840,000+tax

上の前歯が内側に入っている


性別 女性
年齢 35歳
装置 マウスピース型矯正装置(インビザライン:完成物薬機法対象外)
抜歯 非抜歯
期間 1年8か月
回数 12回
方針 もともと下の歯ならびが前に出ているかみ合わせであったため、途中、顎間ゴムを使用して下の歯ならびを後ろに下げるように計画しました。上の前歯の見え方を調整するために、仕上げ用にマウスピースを作り直してかみ合わせを仕上げ、良好なかみ合わせにすることができました。
リスク 顎間ゴムの効果や最終的なかみ合わせの調整のためにマウスピースを作り直す場合があります

矯正前


症例画像

矯正後


症例画像

治療費


検査診断料 ¥35,000+tax
マウスピース型矯正装置(インビザライン:完成物薬機法対象外) ¥840,000+tax

下の歯がガタガタしている


性別 男性
年齢 10歳
装置 マウスピース型矯正装置(インビザラインTeen:完成物薬機法対象外)、FKO(下顎成長誘導装置)
抜歯 非抜歯
期間 2年3か月
回数 14回
方針 これから生えてくる永久歯の歯の大きさの予測を行った結果、抜歯せずに十分に歯が並ぶと判断し、下のあごを成長させることで上下のかみ合わせを整えるように計画しました。途中、生えかわる歯が多すぎてマウスピースがはめられない時期には、代わりの取り外し式装置を夜間のみ使用して下あごの成長を誘導し、最終的な仕上げに再びマウスピース矯正装置(インビザライン:完成物薬機法対象外)を使用し、歯を抜かずにきれいなかみ合わせとすることができました。
リスク あごの成長度合いには個人差があり、場合により治療計画を変更する必要が生じることがあります。

矯正前


症例画像

矯正後


症例画像

治療費


検査診断料 ¥35,000+tax
マウスピース型矯正装置(インビザライン:完成物薬機法対象外) ¥840,000+tax

上下の歯の凸凹、左上の前歯が反対


性別 男性
年齢 20歳
装置 マウスピース型矯正装置(インビザライン:完成物薬機法対象外)
抜歯 左下中切歯、上下左右の親知らず
期間 1年5か月
回数 11回
方針 下顎が前に出ていて外科矯正も検討されるかみ合わせでしたが、患者さんと相談して下の前歯を抜歯して上下のかみ合わせを調整することにしました。途中親知らずが強く当たるため、治療計画を変更して親知らずの抜歯を行い歯を並べた結果、きれいなかみ合わせにすることができました。
リスク かみ合わせのずれ具合によっては抜歯や外科手術等が避けられない場合もあります

矯正前


症例画像

矯正後


症例画像

治療費


検査診断料 ¥35,000+tax
マウスピース型矯正装置(インビザライン:完成物薬機法対象外) ¥840,000+tax

上の前歯のすきっ歯


性別 女性
年齢 53歳
装置 マウスピース型矯正装置(インビザラインライト:完成物薬機法対象外)
抜歯 非抜歯
期間 11か月
回数 7回
方針 下の前歯のかみ合わせが深く、上の歯ぐきのスジ(上唇小帯)が動くことで前歯にすき間を作っていたため、口腔外科で小帯を短く切除してからマウスピース型矯正装置(インビザラインライト:完成物薬機法対象外)で治療を行いました。マウスピース型矯正装置(インビザラインライト:完成物薬機法対象外)はマウスピースの使用枚数が限られており、かみ合わせの状況によっては上の前歯を大きくするなどの処置が必要となる可能性がありましたが、患者さんのマウスピース使用程度が良く、結果として良好なかみ合わせにすることができました。
リスク マウスピース型矯正装置(インビザラインライト:完成物薬機法対象外)は使用できるマウスピースの枚数に制限があるため、治療できない場合があります。

矯正前


症例画像

矯正後


症例画像

治療費


検査診断料 ¥35,000+tax
マウスピース型矯正装置(インビザラインライト:完成物薬機法対象外) ¥430,000+tax

後戻りした上のすき間を閉じたい


性別 女性
年齢 27歳
装置 マウスピース型矯正装置(インビザラインライト:完成物薬機法対象外)
抜歯 非抜歯
期間 10か月
回数 7回
方針 他院で以前治療したかみ合わせの再治療ケースです。結婚式のため目立たない装置をご希望され、挙式当日に外せるマウスピース型矯正装置(インビザライン:完成物薬機法対象外)を使って治療を行いました。少ない枚数のマウスピースで費用を抑えて治療を終えることができました。
リスク マウスピース型矯正装置(インビザラインライト:完成物薬機法対象外)は使用できるマウスピースの枚数に制限があるため、治療できない場合があります。

矯正前


症例画像

矯正後


症例画像

治療費


検査診断料 ¥35,000+tax
マウスピース型矯正装置(インビザラインライト:完成物薬機法対象外) ¥430,000+tax