歯並びについて

下顎前突

下顎前突とは

下顎前突(かがくぜんとつ)は、正常なかみ合わせでは上の前歯が下の前歯より前にありますが、下の前歯が上の前歯より前にあるかみ合わせです。

一般的には「受け口(うけくち)」などとも呼ばれ、あご先が出っぱり、口元が引っ込んでいる顔立ちになることもあり、見た目を気にされる方が多いことも特徴です。

上下の前歯の先端が合わさっている状態の「切端咬合(せったんこうごう)」と呼ばれるかみ合わせもこれに含まれます。

症例画像

下顎前突の原因

下あごよりも上あごが小さいために、上の前歯が後ろに引っ込んで「でこぼこ」になることで下顎前突になっていることが多いです。これらの場合、舌の大きさや位置、動きなどに問題があり、下の前歯を舌で無意識に押してしまうことが根本的な原因であることが多くあります。

また、ご家族からの骨格的な遺伝や、先天性な疾患が原因となることもあります。

下顎前突を放置した場合の将来的なリスク

上の前歯と下の前歯できれいにものを咬むことができないために、虫歯や歯周病、過度な負担による歯の破折などで歯を失ってしまう可能性が高まります。また、失った後に、かぶせ物などで治療をしても、もともとの土台となる上下のあごがずれているため、かぶせ物などが外れやすかったり、すぐにダメになってしまったりすることもあります。

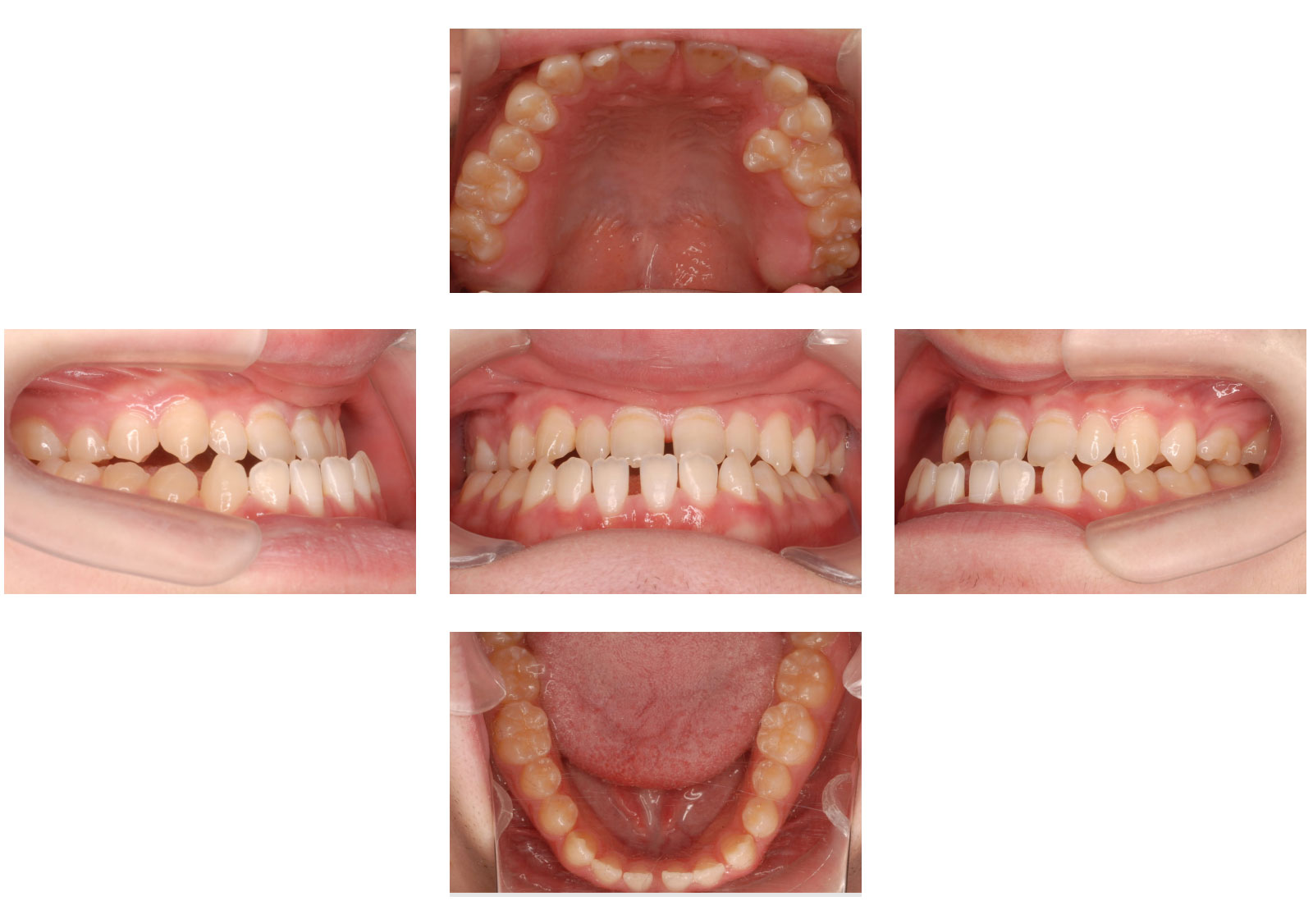
下顎前突の症例写真

受け口、あご先が目立つ


性別 男性
年齢 18歳
装置 表側矯正装置(メタル)+ 外科的矯正治療
抜歯 下左右親知らず
期間 2年8か月
回数 39回
方針 上下の顎の位置がずれていて前歯でご飯が咬み切れない状態でした。矯正装置によって凸凹を治してから外科手術により顎の位置調整を行い、その後かみ合わせの調整のために仕上げの矯正を行いました。
リスク 外科手術においては入院して全身麻酔で行います。感染や出血、知覚麻痺などのリスクがあります。

矯正前


症例画像

矯正後


症例画像

治療費


保険診療の自己負担分のみ

下顎前突に関するよくある質問

下顎前突の多くは上あごより下あごが前に出ていることで、かみ合わせが悪くなっています。しかし、日本人はもともと骨格が小さく、上下のあごのずれもそれほど大きくないことが多いため、手術をしないでもかみ合わせを治せることがとても多くなっています。

ただし、あごのずれの程度やゆがみの有無によっては手術をおすすめすることもありますので、一度矯正歯科を専門に行う歯科医師と相談することをおすすめします。初診相談等をご利用ください。

A

手術を必要とする方のかみ合わせは、上下のあごの大きさが異なることから、片方のあごだけでこぼこが大きい、すきっ歯になっている、奥歯が咬んでいないなど、上下の歯ならびのずれが大きいことが多いです。

手術であごを正しい位置に治す時に、ずれた歯ならびのままだと、正しい位置にあごを固定することができません。また、手術後にきちんと咬めないことで、元のずれたあごへ戻る力が働いてしまいます。そのため、手術前も手術後も矯正治療をすることはとても重要です。

入院が必要など、大変な面もありますが、手術を必要とする矯正治療の多くは保険適応となっており、手術代も含めた治療費総額も、通常の矯正よりも安くなっています。手術の適応ケースかどうかは専門の検査を行う必要がありますので、矯正歯科を専門に行う歯科医師に一度ご相談することをおすすめします。初診相談等をご利用ください。

A

日本人の場合、下あごが大きいのではなく、上あごが引っ込んでいることが受け口の原因であることが多く、上の前歯を矯正装置で前に出すことでも、大幅に見た目が改善されることが多いので、矯正治療だけで見た目を治せることも多いです。

ただし、矯正治療だけでは、上下の歯がきちんとかみ合わないほどの受け口の場合は、治療後にうまく咬めなかったり、歯ならびが元に戻ってしまったりすることもありますので、矯正歯科を専門に行う歯科医師に相談して、ご自分のかみ合わせの状態を確認することが必要です。初診相談等をご利用ください。

A