歯並びについて

上顎前突

上顎前突とは

上顎前突(じょうがくぜんとつ)は、上の前歯が下の前歯に比べて前に飛び出ている不正咬合です。一般的に「出っ歯」などと呼ばれます。

多くの場合、前歯だけでなく、上下の歯ならびや上下のあご全体が、前後にずれてしまっています。そのため、口元が出たり、「あごが無い」と呼ばれるような見た目であったりすることも多く、審美的な問題が非常に生じやすいです。

また、一見して上の前歯が出ていなくても、かみ合わせが深くなり、様々な問題が生じる「過蓋咬合」と呼ばれる不正咬合も、これらの上顎前突に含まれます。

症例画像

上顎前突の原因

のどが腫れたり、鼻が詰まったりすることで、普段から口呼吸をするようになります。口が常に開いていることで、歯が前に出ないように押さえるくちびるの力が弱まり、上の前歯が前に飛び出してしまったり、下くちびるを歯で咬むことが癖になり、下の前歯や下あごが唇で押さえつけられたりすることで、上下の歯やあごにずれが生じて上顎前突になってしまいます。

顎関節症(あごの病気)などにより、徐々に下あごが変形して、後天的に発症することもあります。

上顎前突を放置した場合の将来的なリスク

口呼吸により、常に上の前歯が乾燥した状態となるため、汚れがたまりやすく、虫歯や歯周病で前歯を失う可能性が高くなります。

また、転倒による上の前歯の外傷が非常に多くなることが特徴で、歯が折れたり抜けたりする、神経が死んで変色するなど、多くの審美的問題を生んでしまうおそれがあります。

 犬歯などの、そしゃく時に重要な役割を果たす歯がかみ合っていないことも多く、これらが顎関節症を引き起こす原因になるとも言われています。

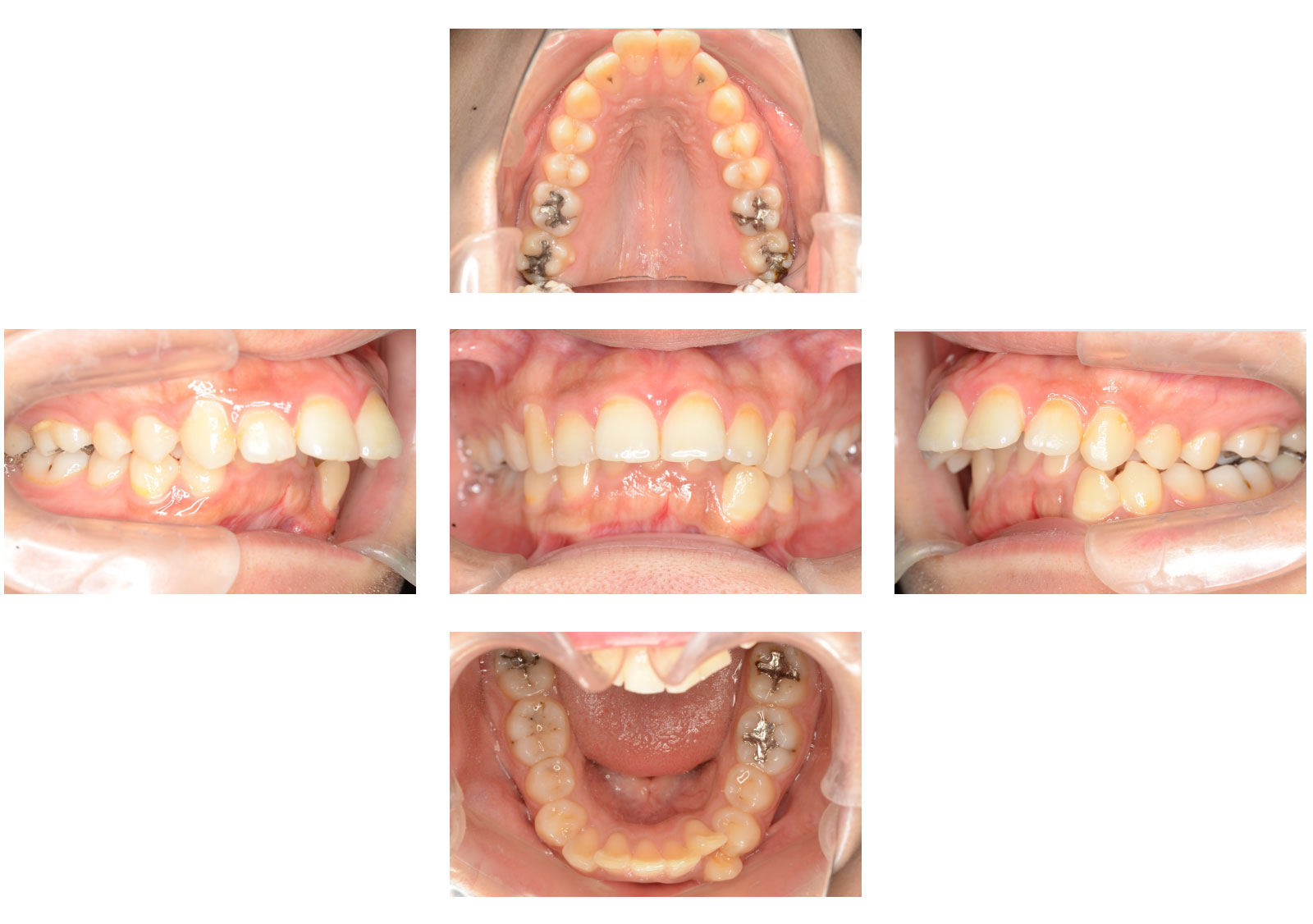
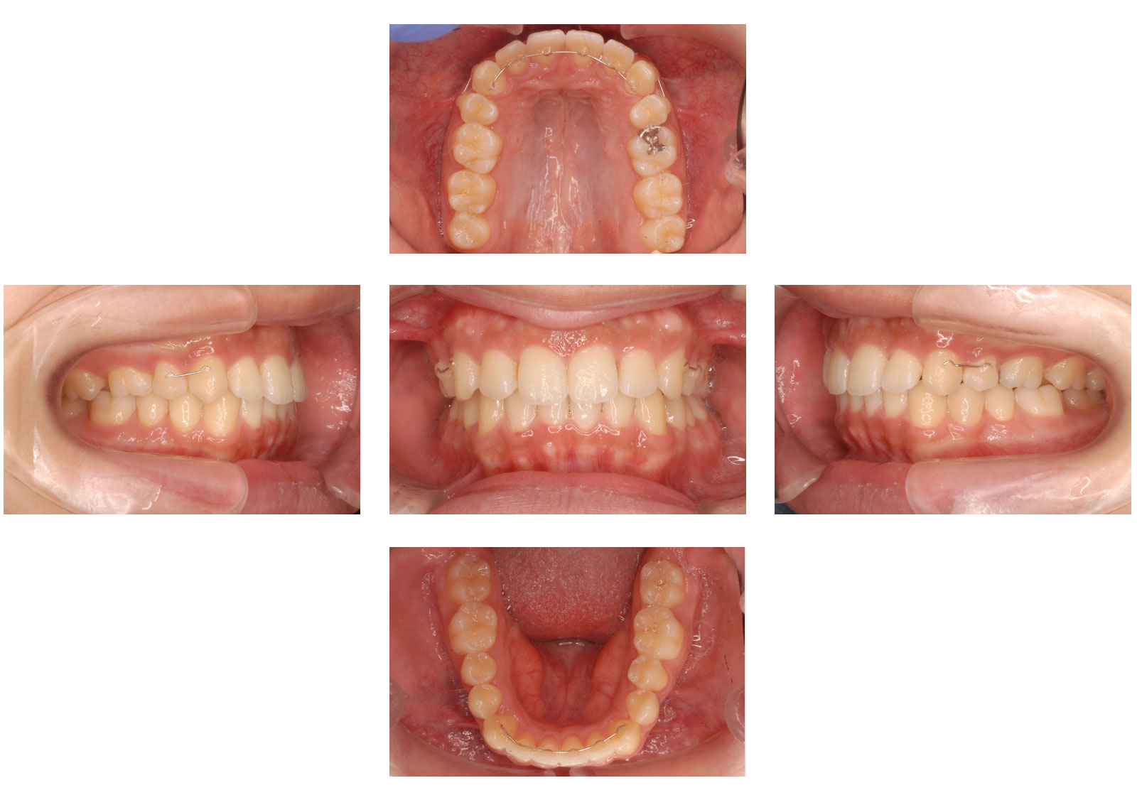
上顎前突の症例写真

出っ歯


性別 女性
年齢 20歳
装置 表側矯正装置(クリア)+ 歯科矯正用アンカースクリュー
抜歯 上左右小臼歯 2本
期間 2年3か月
回数 30回
方針 上の前歯が出ているために普段から口が閉じれない状態でした。 上の歯が下の歯よりも歯1本分前に出ていたため、上の左右の歯を抜歯し、上の前歯を後方に下げることできちんとかみ合い、口も閉じやすくすることができました。
リスク 歯科矯正用アンカースクリューが外れたりした場合には、上の前歯が十分に下がらないことがあり、代わりとなる矯正装置が必要となることがあります。

矯正前


症例画像

矯正後


症例画像

治療費


検査診断料 ¥35,000+tax
表側矯正装置(クリア) ¥740,000+tax
処置料 なし

上顎前突に関するよくある質問

上顎前突は、上あごが前に出ていることが原因であるタイプと、下あごが後ろに引っ込んでいることが原因であるタイプがあり、それぞれに治療方法が異なります。

上あごが前に出ている場合は、歯を抜いたほうが良いことも多いですが、下あごが引っ込んでいるタイプでは、下の歯を前に出すことで歯を抜かずにきれいに治すことが可能です。

年齢や骨格により治療方法は様々で、患者さんの希望に合わせた治療法を選択できることも多いため、ぜひ一度矯正医に相談することをおすすめします。初診相談等をご利用ください。

A

全ての上顎前突が当てはまるわけではありませんが、かみ合わせが悪く、しっかりと咬めない歯ならびである場合、空間認知能力、記憶力などが低下することが、ラットやウサギなどを用いた動物実験で明らかとなっています。これらの結果から、かみ合わせの不正によって集中力なども低下することが推察されます。

かみ合わせによっては、集中力が低下するだけでなく、姿勢が悪くなったり、風邪をひきやすくなったりするとも言われます。ご心配な場合は、一度矯正医の診察を受けることをおすすめします。

A

一般的に上顎前突と呼ばれるかみ合わせの不正であると、上顎が前に出ていたり、下あごの先(オトガイ)が引っ込んでいたりすることにより、口元が出ていることが多いです。

この場合、上の歯を後ろにひっこめたり、お子さんの場合には下あご(オトガイ)の先を前に成長させたりすることで、口元が下がります。その結果、上顎前突の方を矯正治療すると顔の印象が美しくなることが多いと言われています。

A