矯正装置について

歯の裏側(舌側)からの矯正

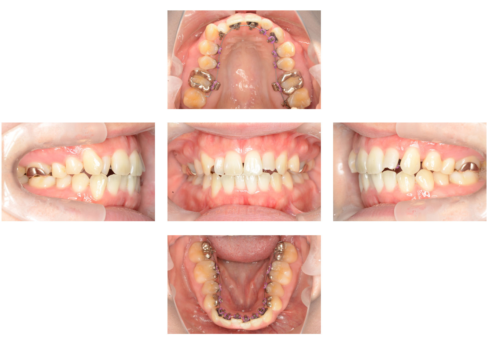
リンガルとは


1つ1つの歯の裏側に金属製のブラケットを付け、それらを細い金属製のワイヤーで結んだり、引っ張り合ったりする装置です。歯の裏側に装置やワイヤーを付けるため、表側から装置が見えることはありません。

また、マウスピース型矯正装置(インビザライン:完成物薬機法対象外)ではできない、複雑な歯の移動が可能なため、様々なかみ合わせの不正も治療することができます。

リンガル

ハーフリンガルとは

リンガルは人から気づかれることなく治療することが可能ですが、費用が高くなってしまうのがデメリットとなります。

しかし、人から見えにくい下の歯の装置を、表側矯正のクリアブラケット(白い表側矯正)にして、上の歯だけリンガルにする「ハーフリンガル」にすれば、費用も抑えることができ、なおかつ目立たないように治療を行うことが可能です。

ハーフリンガル

歯の裏側(舌側)からの矯正の特徴

歯の裏側(舌側)からの矯正の最大の特徴は「見えにくい」ことです。また、治療の手技や歯の動きは、基本的に表側矯正と同じですので、表側矯正と同様に信頼性の高い治療が可能で、マウスピース型矯正装置(インビザライン:完成物薬機法対象外)では困難なかみ合わせの不正も治療することができます。

また、裏側に装置を付けることにより、装置の周りの汚れに対して、だ液の持つ抗菌作用が働き、治療中にむし歯になる可能性が減少するといわれています。そのため、比較的むし歯になりやすい中学生、高校生にも治療をおすすめしています。

裏側に装置を付けることにより、舌が装置に当たり、慣れるまでの間しゃべりにくくなることがデメリットとして挙げられます。そこでブラケットを舌感の良い小さな装置にすることで、違和感を軽減することができます。